
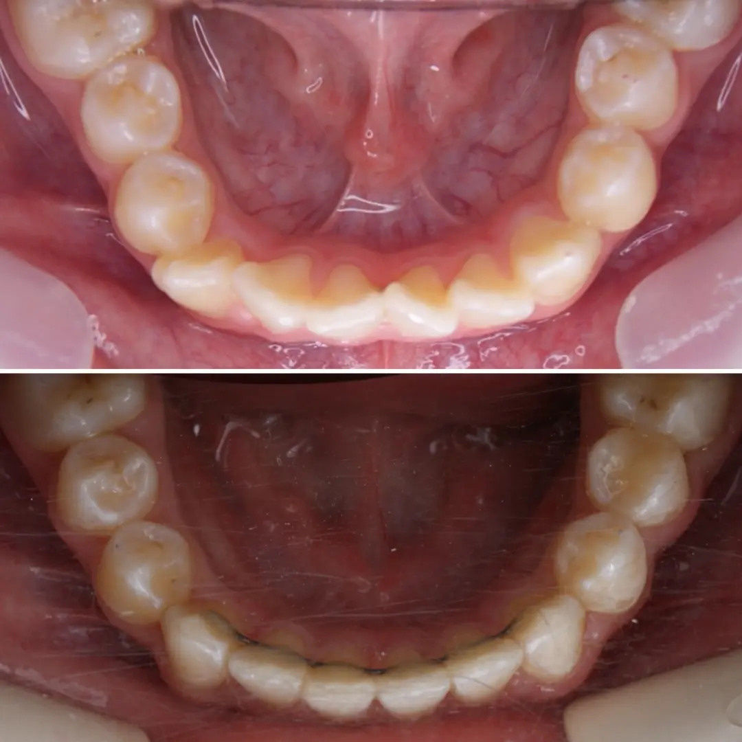
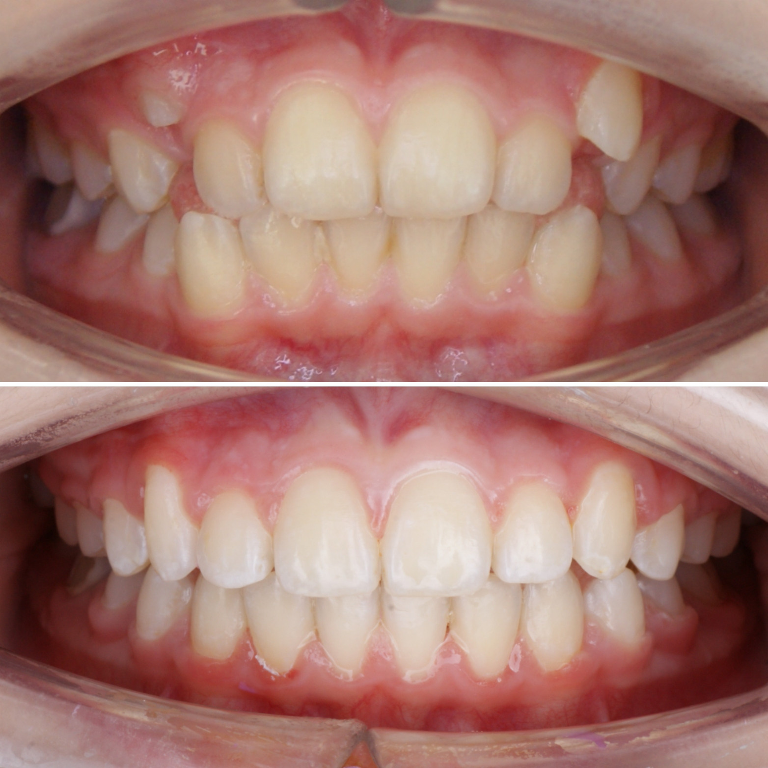
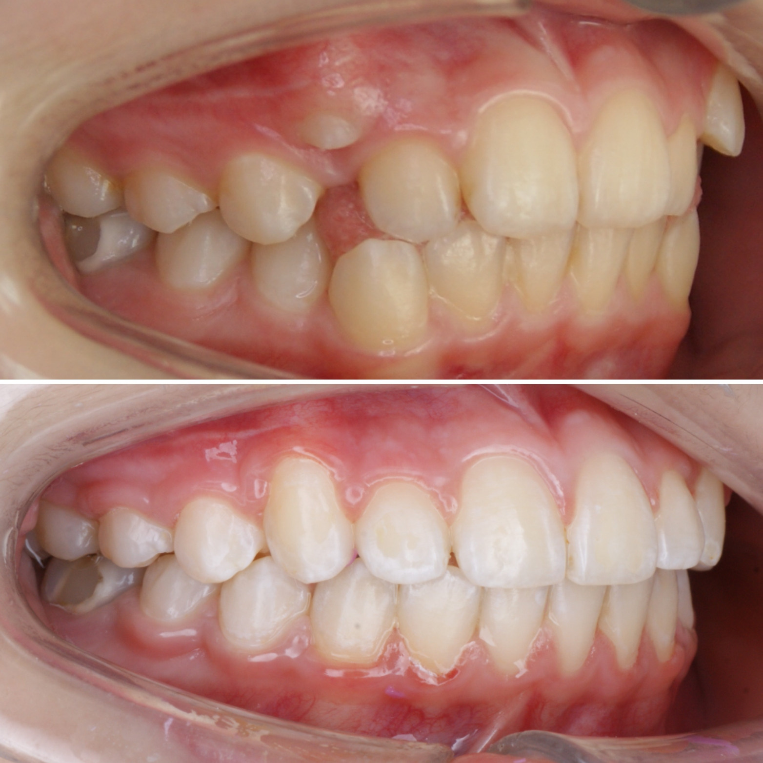
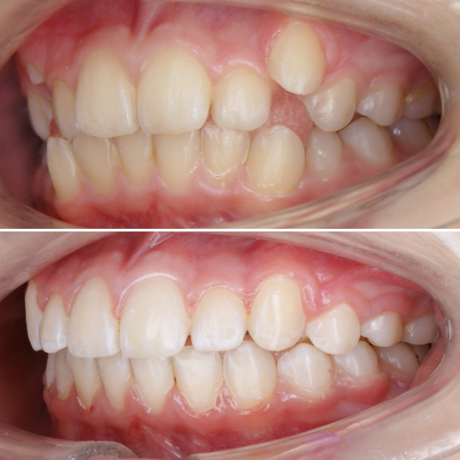
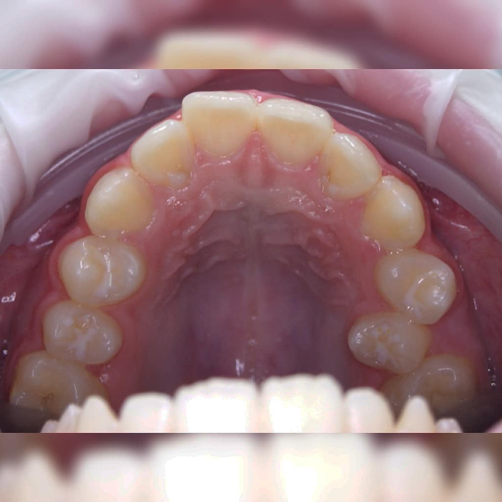
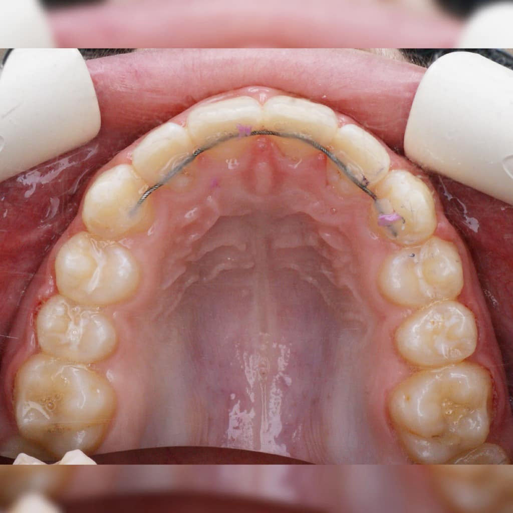
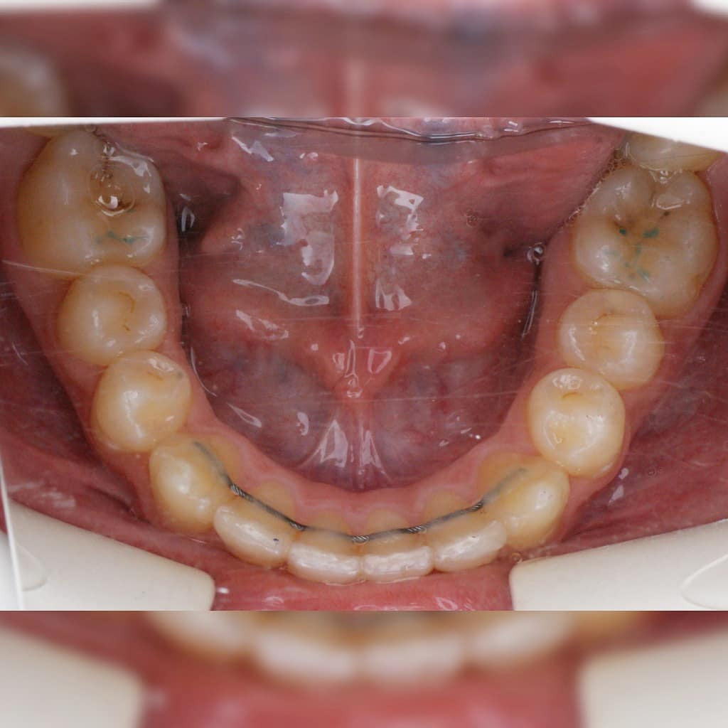
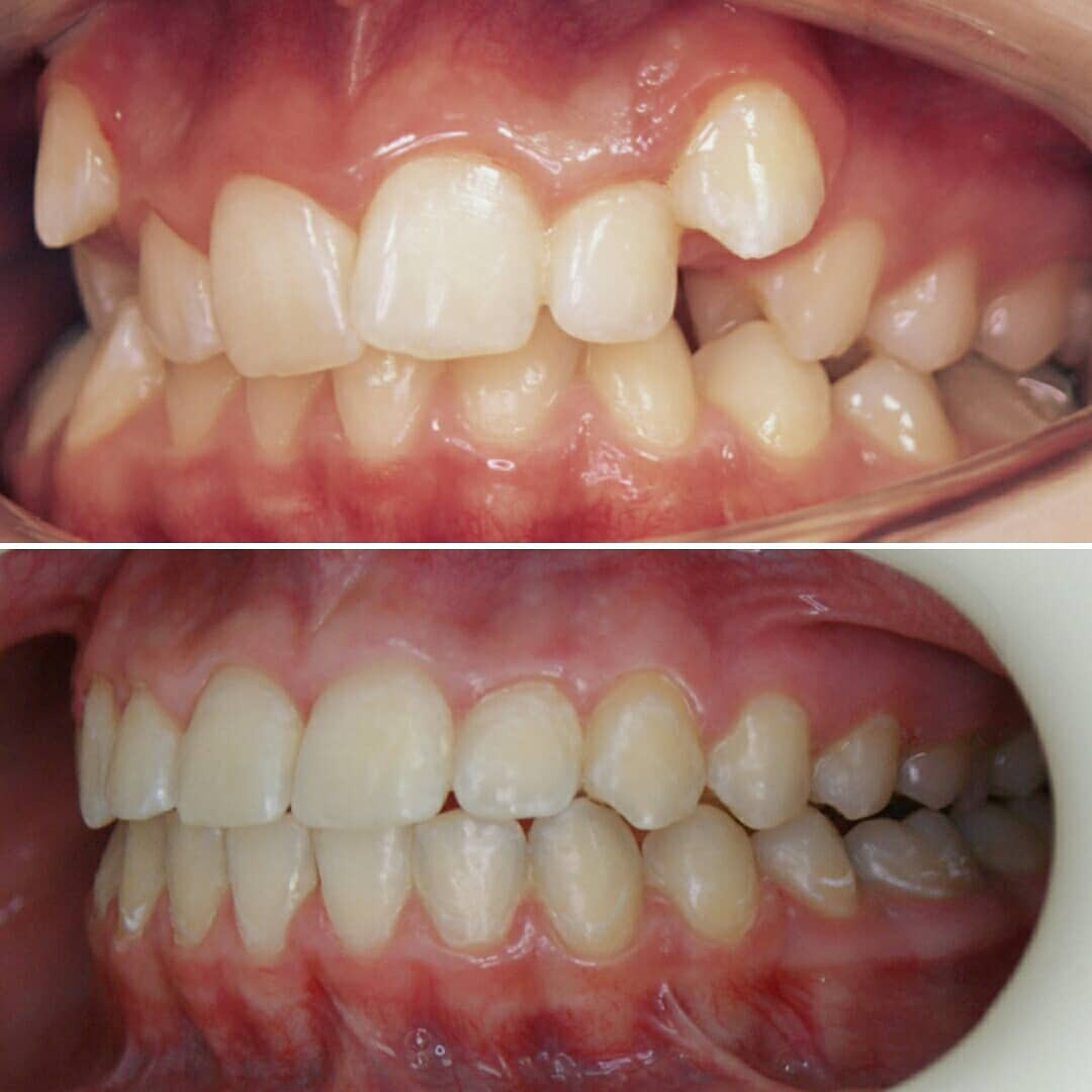
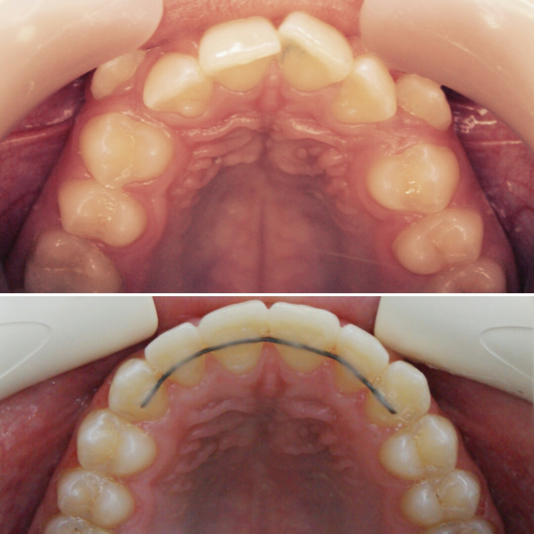
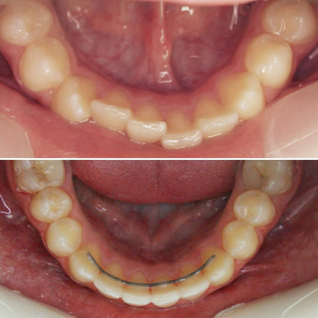
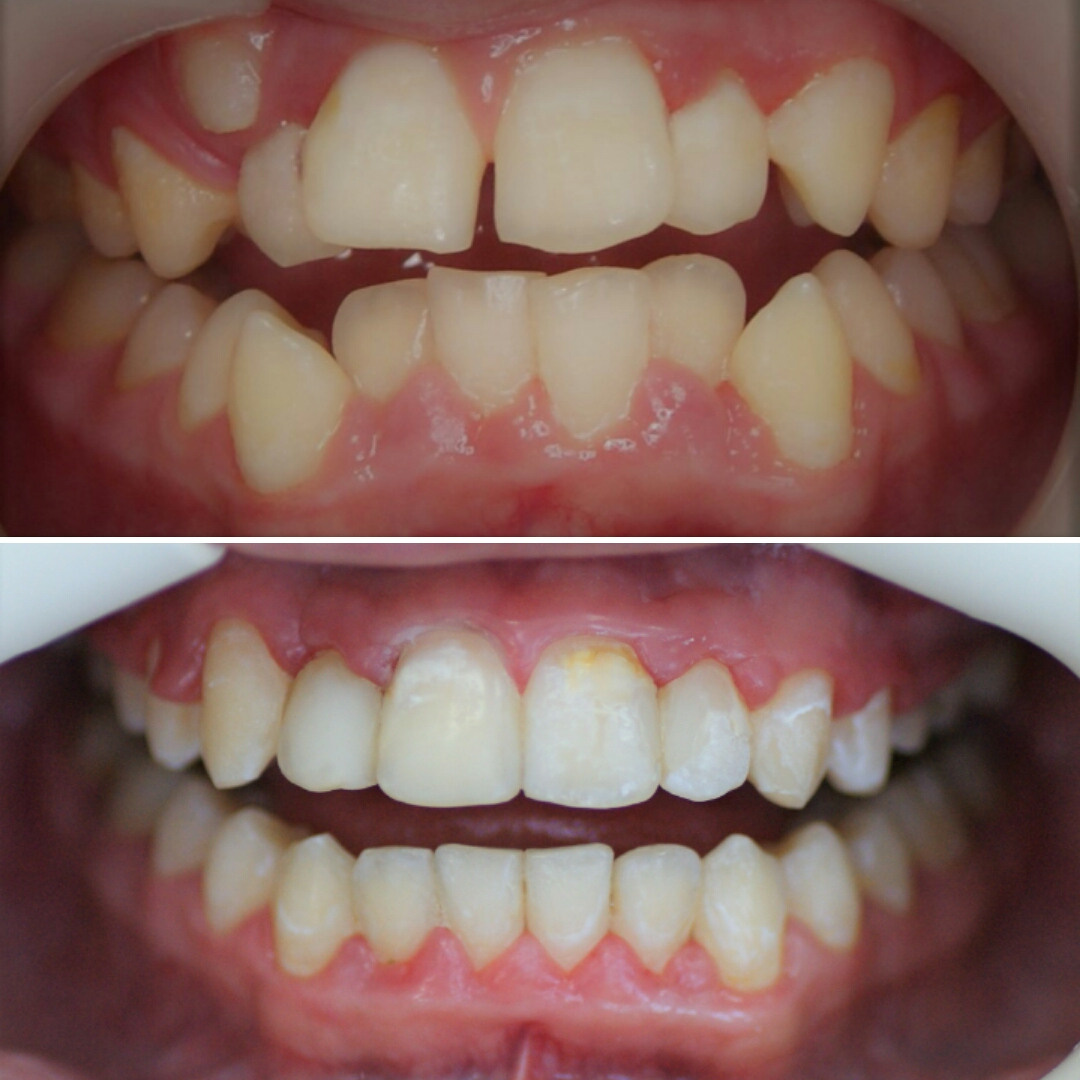
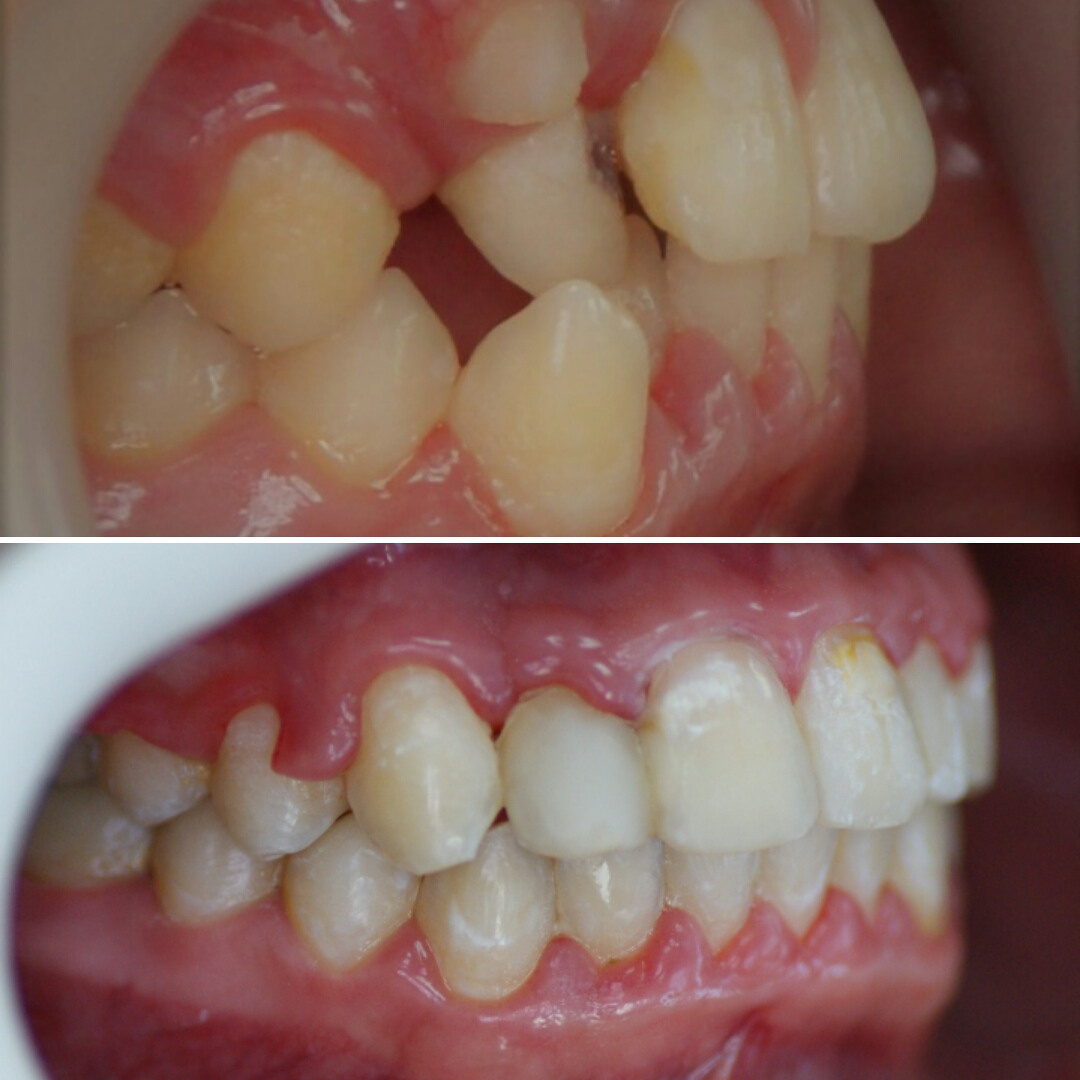
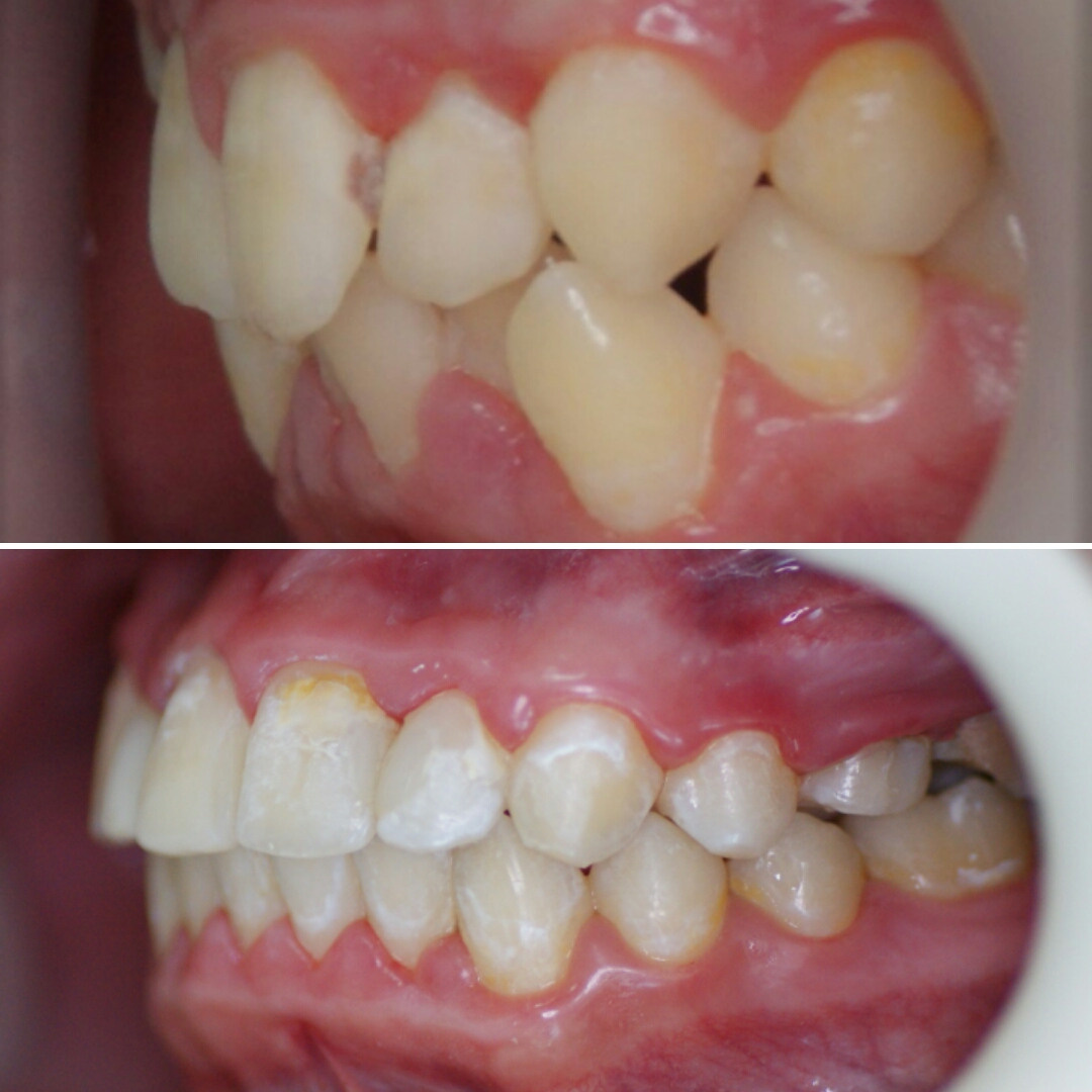
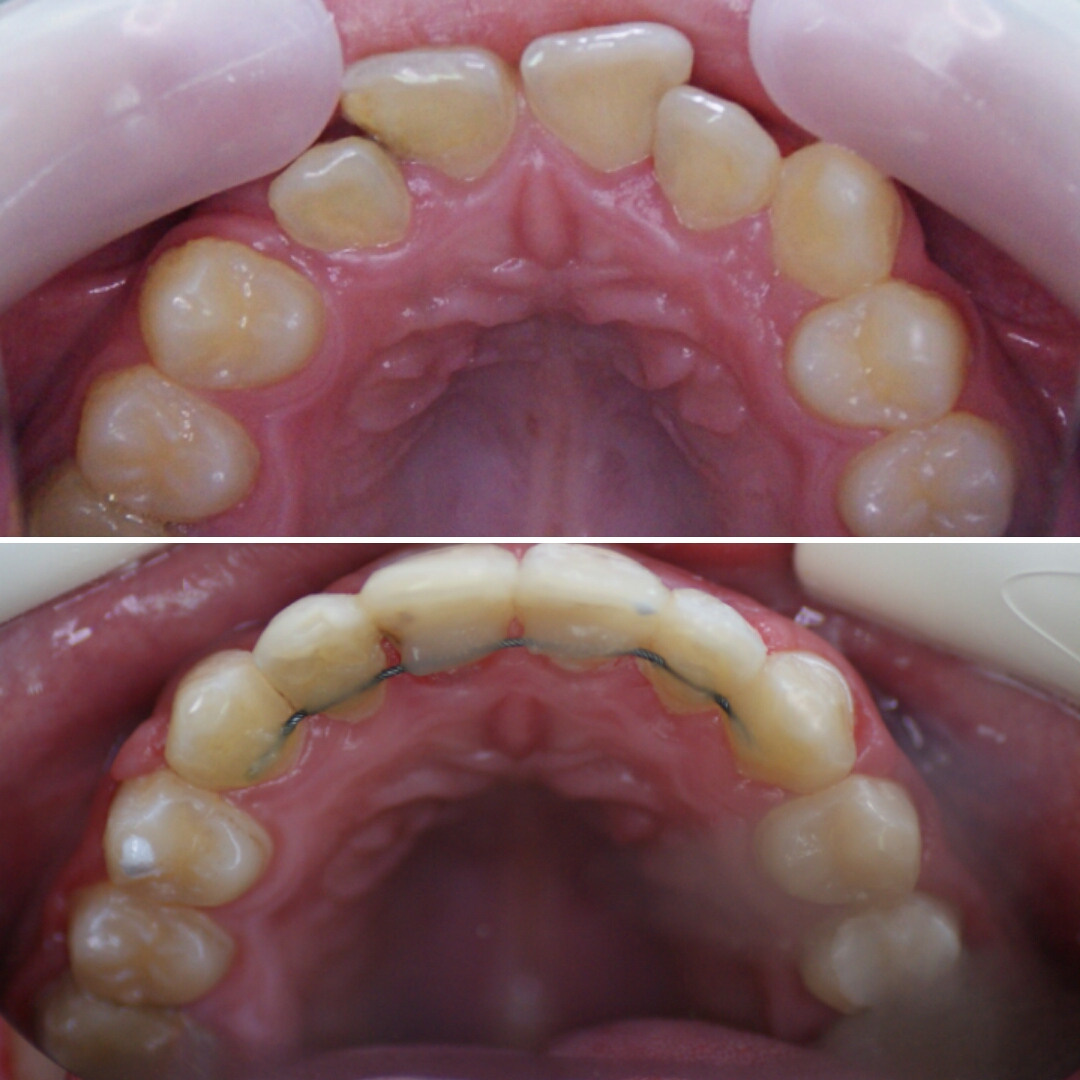
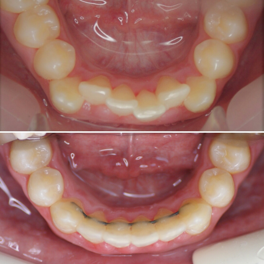
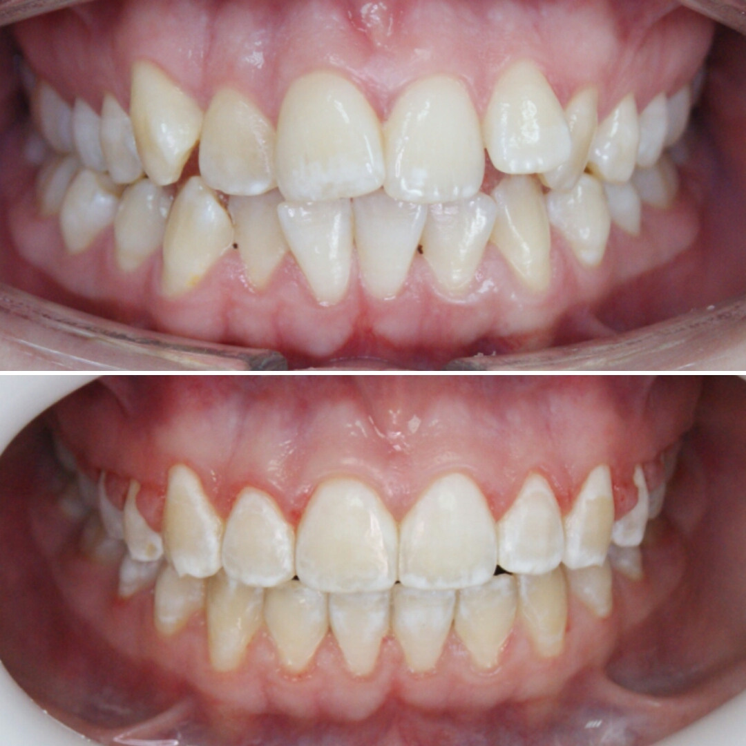
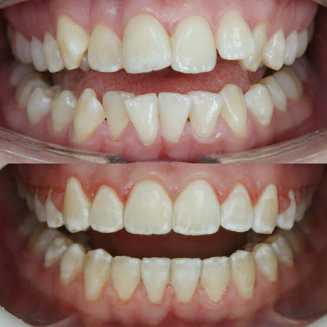
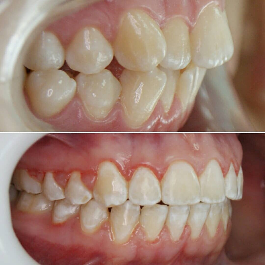
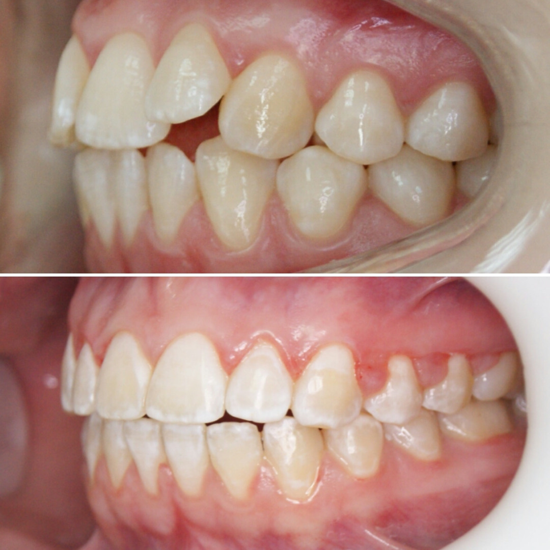
Примеры работ стоматолога-терапевта.

Примеры работ стоматолога-терапевта.


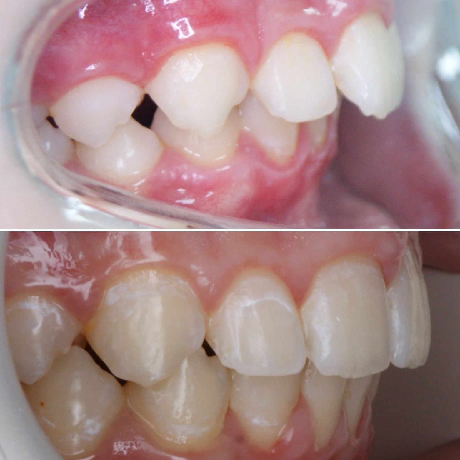
РОДИТЕЛИ! Обратите внимание на МОЛОЧНЫЙ прикус вашего ребёнка!
Зачем?! Да, в возрасте 2-3х лет уже можно заподозрить неладное в челюстно-лицевом развитии.
Как должно быть:
1) Широкие промежутки между всеми молочным зубами говорят о хорошем росте челюстей, о том, что запас места для постоянных зубов есть.
2) Наклоны зубов прямые, зубы не вдавлены внутрь, как на первой фотографии. Правильный наклон обеспечивается правильным положением языка и хорошим жеванием.
3) Бугры клыков и боковых зубов, а также режущие края передних зубов должны стираться. Если зубы острые, значит ребёнок не жуёт. Острые бугры блокируют плавные движения челюсти и ограничивают рост. Надеюсь, понятно. ПРОВЕРЯЙТЕ!

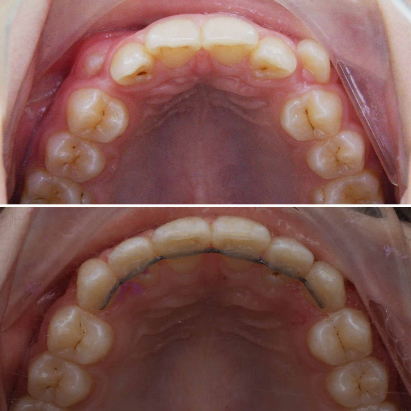
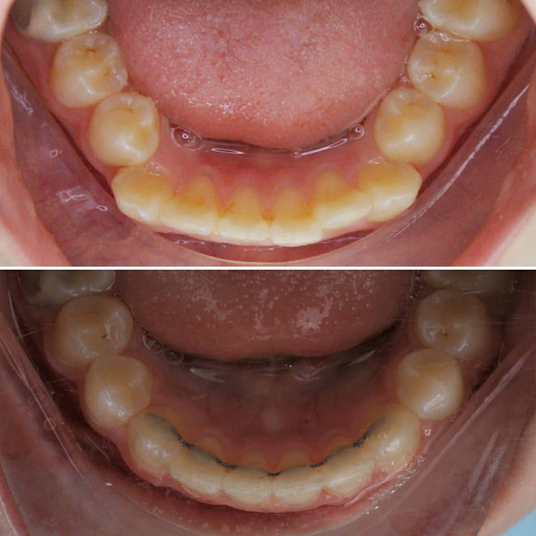
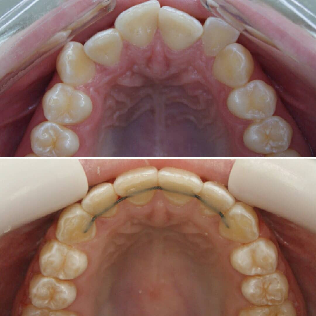
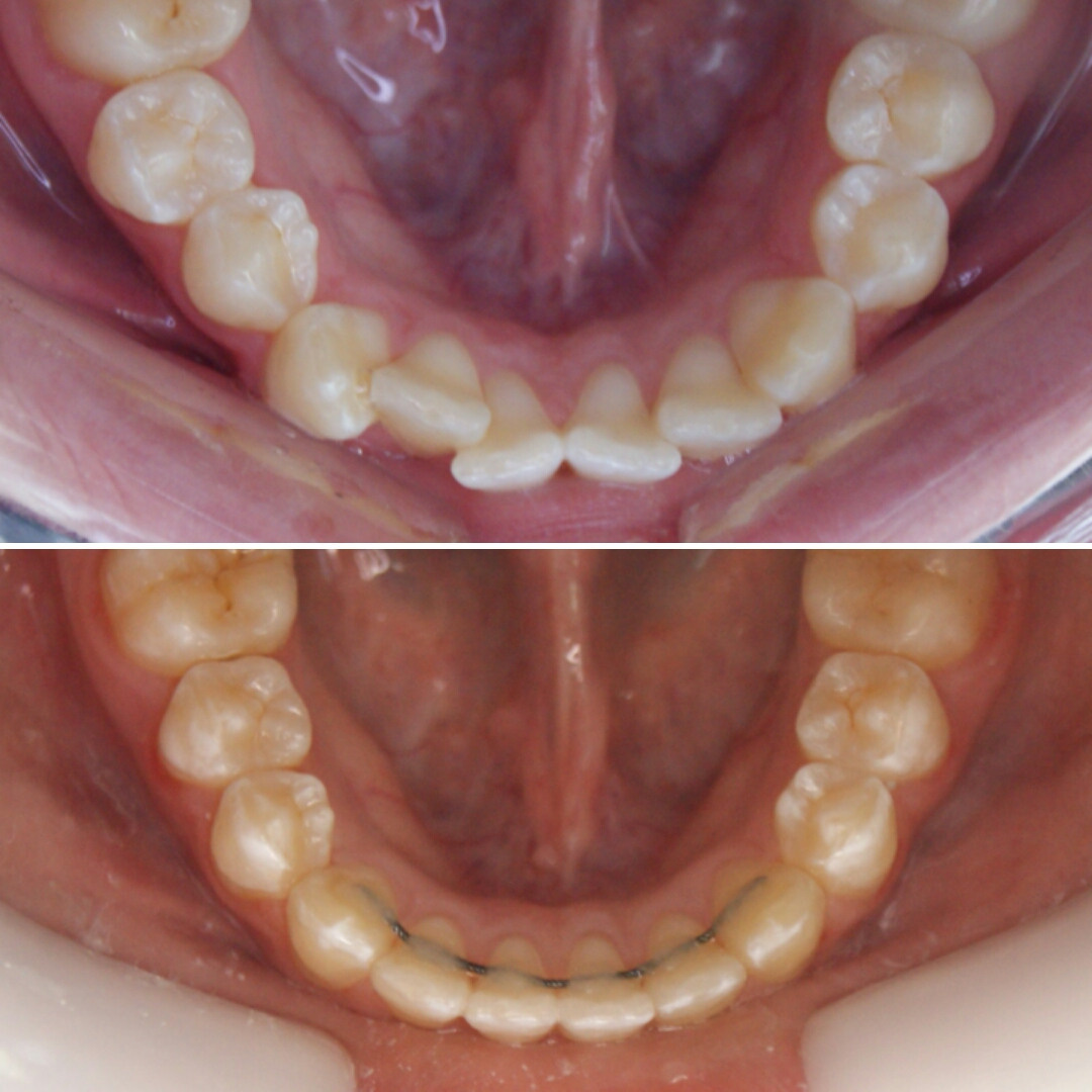
Большое путешествие зубов на своё законное место.

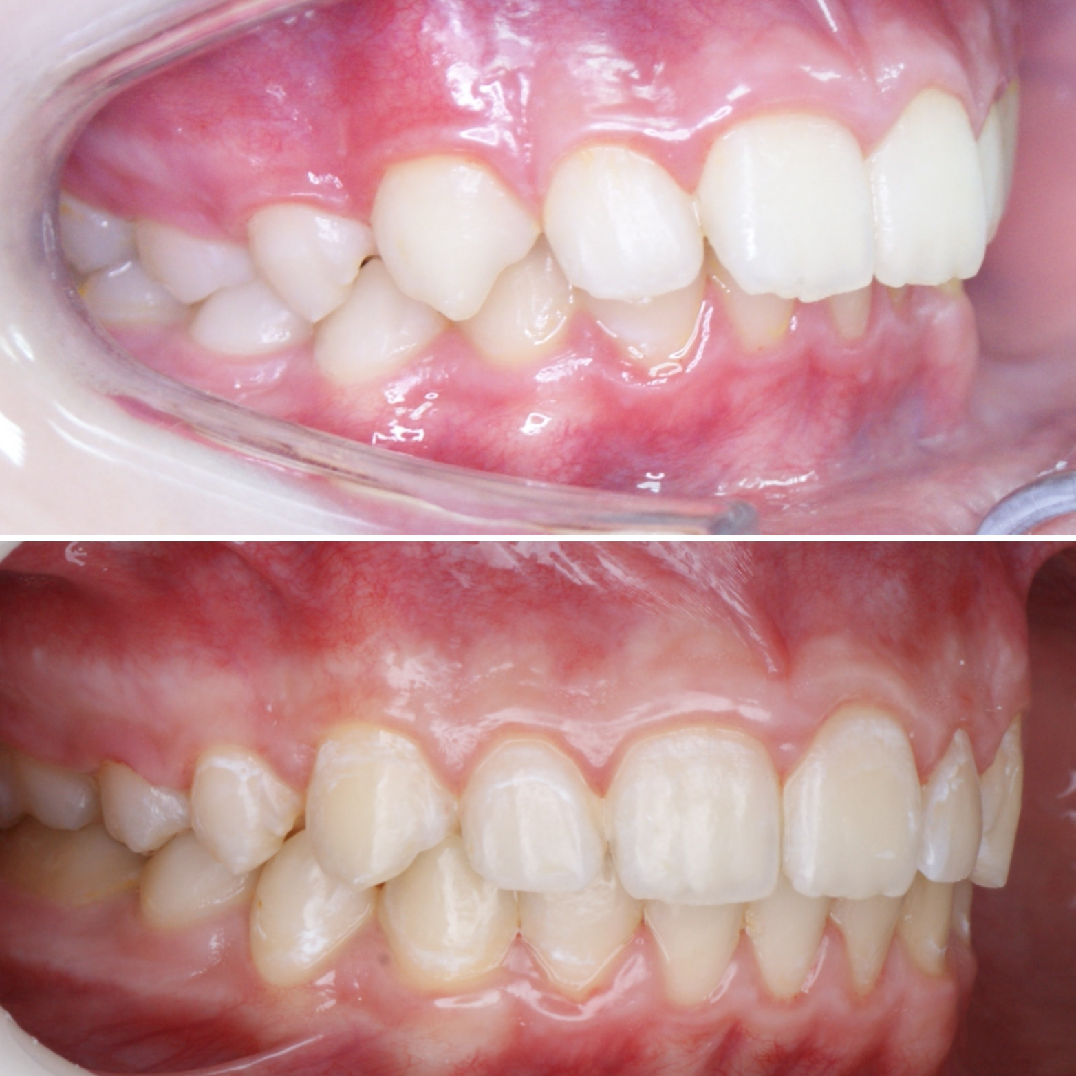
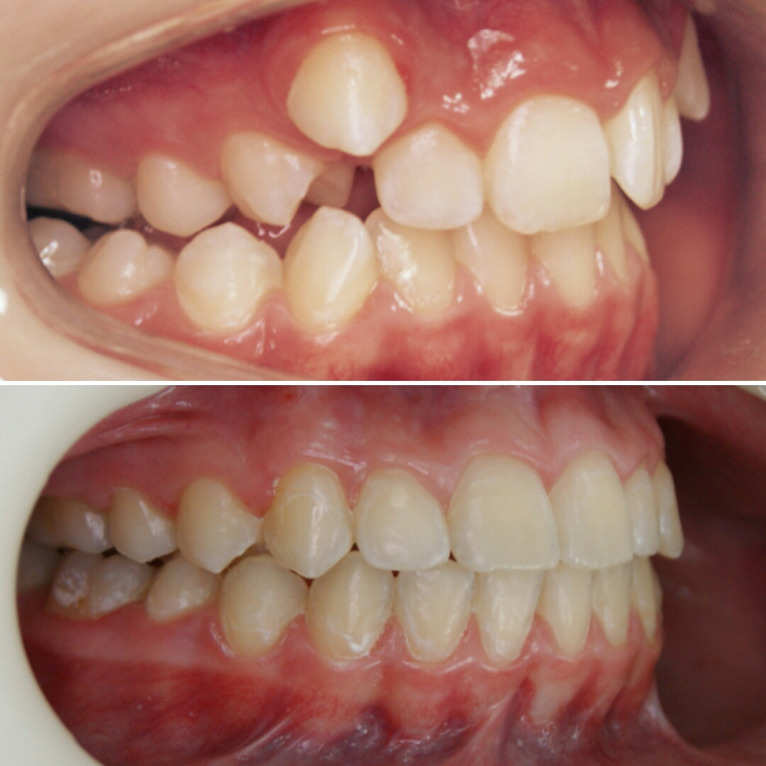
❗"Ждите до 12 лет, когда прорежутся постоянные зубы, тогда поставим вам брекеты". ❗
Эта фраза знакома многим ответственным родителям, которые привели на приём к ОРТОДОНТУ своего ребёнка в 5-10 лет, заподозрив проблему или понимая, что места постоянным зубам откровенно не хватает! Горькая правда в том, что брекеты - не волшебное средство от всех проблем, они "расставляют" зубы внутри сформированого объёма челюсти, но никак не влияют на её рост. Родители ждут, а тем временем драгоценное время, когда ребёнок растёт, уходит... Во взрослом возрасте приходится удалять здоровые зубы или прибегать к ортогнатической хирургической операции. 📸 На фото узкая нижняя челюсть, места постоянным зубам нет, боковые резцы прорезываются "вторым рядом".
❓Ну что? Будем ждать 12 лет? Или будем помогать ребёнку?
✅ Помогаем с помощью расширяющей дуги, пружины и зацепных элементов, которые зафиксированы на МОЛОЧНЫЕ зубы

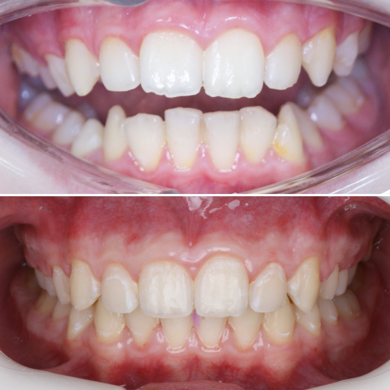
За 3 года (после завершения ортодонтического лечения) Вадим заметно подрос и возмужал😄, а главное, его угрюмое "Я не улыбаюсь" превратилось в широкую и яркую улыбку! Как быстро растут дети!😅
P.S. Опубликовано с разрешения пациента

Они такие разные! Но всё таки мы вместе... вместе приближаемся к осуществлению мечты об идеальной улыбке🧚♀️👩⚕️
🔷️ Промежуточный результат лечения на аппарате Марко Роса (6 месяцев). Пациенту 7 лет. Самое удивительное - как "отвечает" на лечение нижняя челюсть: расширяется, меняется её положение и корректируется дистальный прикус, выравниваются нижние зубы, хотя никаких аппаратов на нижней челюсти не было!
P.S. Каждый случай уникальный, чаще нижнюю челюсть мы всё таки расширяем тоже.

Применение минивинта для абсолютной опоры.

Метод непрямой фиксации брекет-системы.


К - конструкция...

ЧАСТЬ 1. КСИЛИТ. Да-да, Вы не ошиблись, прочитав заголовок! Но, конечно, речь пойдёт не об обычном сахаре, который есть в каждом доме, а о КСИЛИТЕ! ✅ Ксилит или ксилитол (греч. xylo- «дерево» и -itol «сахарный спирт») – это натуральный сахар, который содержится в растениях, овощах и фруктах. Его называют древесным или березовым сахаром, так как в промышленных масштабах ксилит добывается из березы или из кукурузных початков. Это делает его гораздо дороже обычного сахара.
✅ Также организм человека вырабатывает ежедневно от 5 до 15 граммов ксилита в печени при переработке углеводов. Соответственно ксилит является естественным элементом для человеческого организма.
✅ Ксилит белого цвета, имеет кристаллическую структуру и обладает сладким вкусом, абсолютно идентичным сахару.
ПОЛЬЗА ДЛЯ ЗУБОВ Основная причина кариеса - бактерии, которые при переваривании обычного сахара вырабатывают вредные кислоты, разрушающие эмаль зубов с образованием "дырок". Переработка же ксилита отнимает так много энергии у бактерий, что у них не остаётся "сил" на размножение, что уменьшает образование налёта, а сам ксилит перерабатывается без образования кислот. При полной замене сахара ксилитом, кариесогенные бактерии естественным образом вытесняются безвредными бактериями, живущими во рту.
⛔ Будьте осторожны! Употребление ксилита в больших дозах (с непривычки) может вызвать диарею. Также ксилит опасен для животных (собак), так как у них нет фермента, перерабатывающего его. 🍭🍬🍭
P.S. В магазине рука не поднималась купить ребёнку чупа-чупс, и я нашла полезную альтернативу сладкой карамели, чупа-чупсам и жевательной резинке. Искренняя рекомендация, не реклама. Прекрасный вкус и польза для зубов! Ребёнок обожает😄 Какую пользу еше приносит ксилит? Читайте в следующих постах.

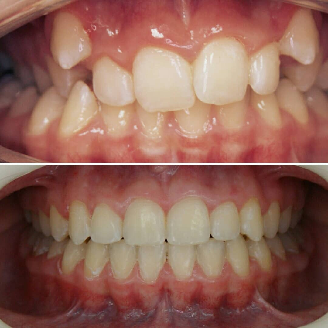
Новая улыбка👍
Клинический случай закончен отлично, а вот НЕСОБЛЮДЕНИЕ ГИГИЕНЫ во время ортодонтического лечения привело к изменению эмали зубов!
❗Будьте ответственны к своему здоровью! Соблюдайте гигиену полости рта!❗

Разбираю архивы... Пациентка довольна и счастлива😇

Расширение 🔜 Сужение Эластики (резиновая тяга) через нёбо могут использоваться для сужения зубного ряда.

Сужение 🔜 Расширение Изменение формы верхней челюсти во время лечения.
Иван Тимофеевич 😎проходит лечение с использованием аппарата Марко Роса и ЛИЦЕВОЙ МАСКИ. Мама большая молодец, она обратила внимание на формирующийся неправильный прикус сына и вовремя обратилась за помощью.
Лицевая маска - это внешний аппарат, который выступает в качестве опоры для выдвижения (стимуляции роста) верхней челюсти. Подробнее о лицевой маске в следующих постах.
P.S. Благодарю пациентов, которые разрешают публиковать свои фотографии. Показать изменения лица и прикуса?
Современная ортодонтия - это не просто ровные зубы... Прикус исправляем "с запасом" с ориентацией на дальнейший рост нижней челюсти. Лечение продолжается...

МЕЗИАЛЬНЫЙ ПРИКУС - такой вид прикуса, когда нижняя челюсть находится впереди верхней (в норме верхняя и нижняя челюсти должны быть примерно на одном уровне, а верхние зубы должны быть чуть впереди нижних).
❓ От чего бывает такой прикус?
▶️1. Недоразвитие верхней челюсти в передне-заднем направлении 2. Слишком сильное развитие нижней челюсти в передне-заднем направлении 3. Сочетание предыдущих признаков
❓Как работает лицевая маска?
▶️Резиновые тяги, которые цепляются одним концом к крючкам аппарата Марко Роса, а другим к балке лицевой маски, "вытягивают" верхнюю челюсть вперёд, таким образом стимулируя её рост и развитие. Лицевая маска выступает в качестве опоры (лобный упор и подбородочный упор).
❓Как крепится лицевая маска?
▶️Маска держится на лице за счёт резиновых
❓Какой режим ношения лицевой маски?
▶️Чем больше, тем лучше. В идеале постоянно. Для появления эффекта от лечения необходимо ношение минимум 12-16 часов в сутки, то есть всю ночь и несколько часов днем.
❓Как долго её носить? ▶️При соблюдении режима 6-12 месяцев, но чем дольше, тем лучше.
❓В каком возрасте используется?
▶️В 5-8 лет (лицевая маска+Марко Роса). В случае мезиального прикуса чем раньше, тем лучше. Если ребёнку установлен такой диагноз, то начинать нужно уже в молочном прикусе, то есть в 5 лет.

7-9 августа 2021, Очередная учёба в Бостонском институте эстетической стоматологии

ЧАСТЬ 6. АППАРАТ МАРКО РОСА (Marco Rosa).
❓Винт уже раскрутили полностью, а расширение нужно проводить дальше, что делать?
▶️ Бывают ситуации, когда челюсть очень узкая, а у винта в аппарате есть определённый запас хода, которого может не хватить для достижения результата. В этом случае изготавливается новый аппарат Марко Роса и лечение продолжается.
❓Почему на нижней челюсти зубы тоже прорезываются неровно?
▶️ При сужении верхней челюсти сужается и нижняя, так как нижняя под верхнюю "подстраивается". Верхняя челюсть словно зажимает в тиски нижнюю челюсть и тормозит её рост.
❓Нижнюю челюсть тоже нужно расширять?
▶️ При достаточном расширении верхней челюсти, нижняя начинает "расти" и "подстраиваться" под верхнюю сама. Такая адаптация может занять год. Но часто мы помогаем расширению нижней челюсти (дополнительные аппараты, гимнастика для мышц лица и рта, др.)
❓Ну и что, что челюсти узкие, а зубы неровные, от этого же никто не умрёт?
▶️ Маленькие челюсти создают маленький объем полости рта, этакий маленький "домик", в котором живёт язык. Языку тесно, он смещается назад к глотке, перекрывая путь воздуху. Происходит СУЖЕНИЕ ДЫХАТЕЛЬНЫХ ПУТЕЙ. В долгосрочной перспективе - это задержка физического и психического развития, храп, апноэ сна (задержки дыхания во сне), что создаёт угрозу жизни и здоровья.
❓Остались вопросы по этой теме?
▶️ Задавайте! Отвечу!
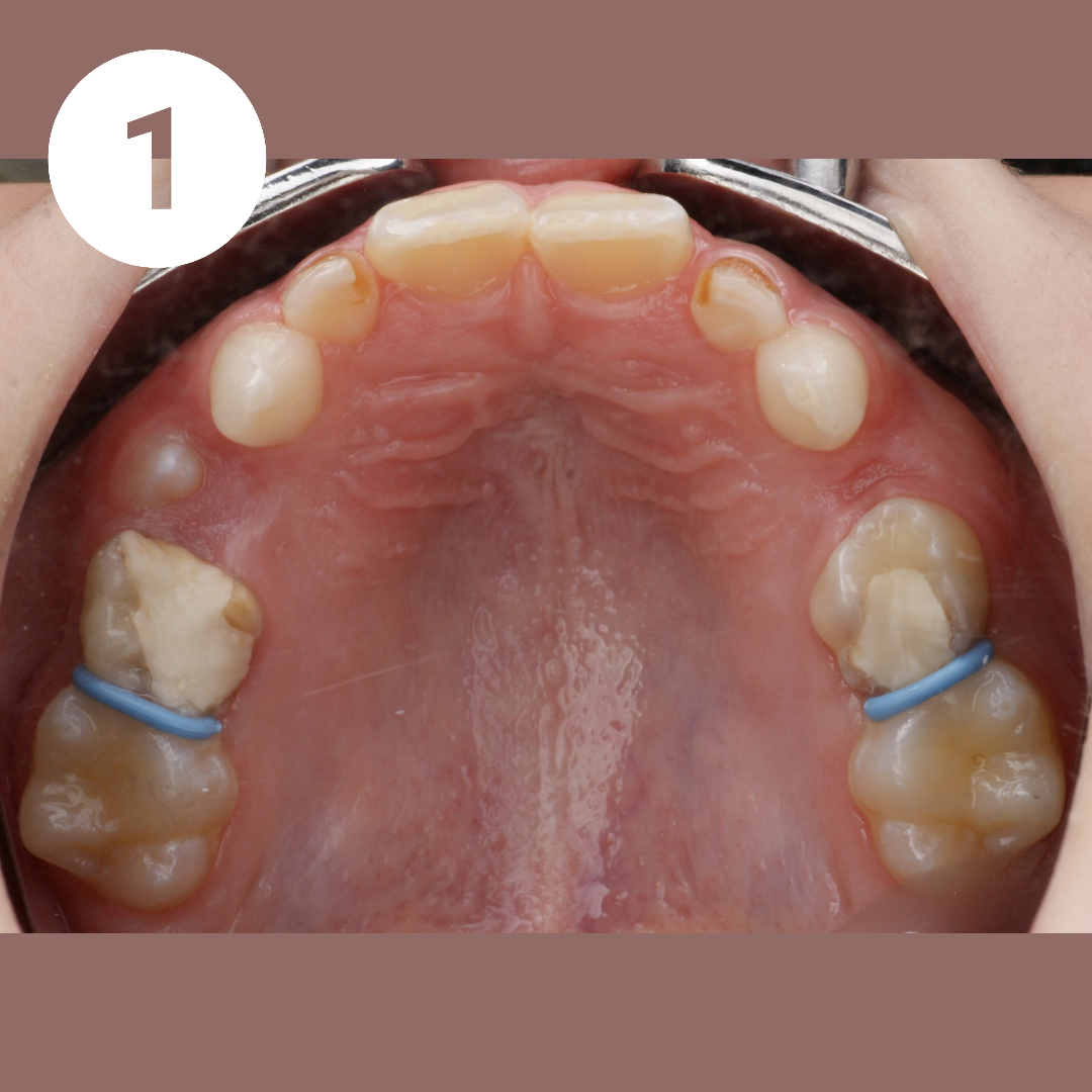
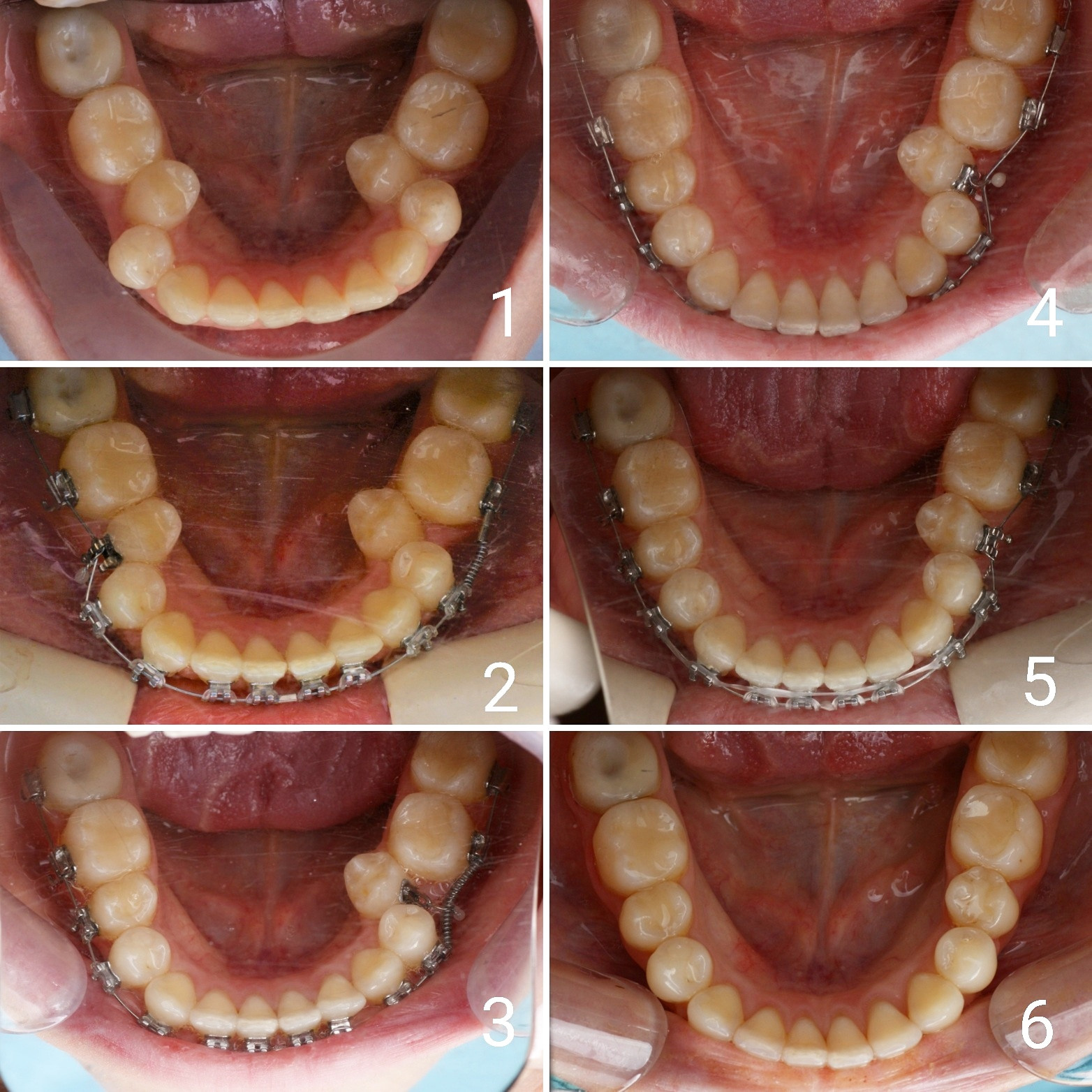
КАК УСТАНАВЛИВАЕТСЯ АППАРАТ МАРКО РОСА (Marco Rosa)
1️⃣ Установка сепарационных колец (голубые резиночки) в промежутки между опорными зубами для их небольшого раздвижения друг от друга и создания места для колец аппарата. Устанавливаются на 10-20 минут (могут устанавливаться на несколько дней).
2️⃣ Очистка опорных зубов от налёта с помощью специальной пасты и вращающейся щеточки бормашины.
3️⃣ На кольца наносится специальный стоматологический клей. Аппарат фиксируется во рту. Клей отверждается световой лампой. Добавляется клей на лапки молочных клыков.

ЧАСТЬ 5. АППАРАТ МАРКО РОСА (Marco Rosa).
❓ Можно ли заниматься спортом с аппаратом?
▶️ Да, никаких ограничений нет, наоборот, только плюсы. Например, съёмная пластинка может выпасть изо рта и сломаться, может травмировать губы, зубы во время занятий спортом, а аппарат Марко Роса надёжно фиксирован и располагается внутри рта на нёбе и никак не мешает юному спортсмену.
❓ Как активировать аппарат?
▶️ Аппарат работает 24/7, то есть постоянно. Родители самостоятнльно активируют его (крутят винт аппарата специальным ключом) по схеме, разработанной врачом-ортодонтом индивидуально для этого ребёнка.
❓ Брекет-система понадобится в будущем?
▶️ Применение аппарата не исключает лечения на брекетах в будущем, но даже если оно понадобится, то будет гораздо быстрее по времени, легче (без удаления отдельных зубов или челюстно-лицевых операций) и дешевле. И дело не в брекетах, а в том, что ребёнок растёт здесь и сейчас, неправильный прикус не даёт ему полноценно развиваться физически и умственно.
❓ Зачем искусственно расширять челюсть, если ребёнок итак растёт, челюсть же тоже вырастет?
▶️ Рост челюстей уже отстаёт от роста всего скелета, рост челюстей замедлился, нужна стимуляция (аппаратами). Самостоятельно они вырастут конечно, но уже в неправильных пропорциях, останутся маленькими.
❓ А почему вообще челюсти сужаются?
▶️ Это очень большая тема, она будет раскрыта позже.

ЧАСТЬ 4. АППАРАТ МАРКО РОСА (Marco Rosa).
❓ Когда можно кушать после установки аппарата?
▶️ Кушать можно сразу.
❓ Сколько ребёнок привыкает к аппарату?
▶️ В среднем 2-3 дня, максимум 7 дней. В первое время может быть повышенное слюноотделение и нарушение произношения звуков, но всё возвращается в норму.
❓ Как соблюдать гигиену полости рта?
▶️ Гигиена полости рта обычная. К чистке зубов добавляется чистка аппарата (зубной щёткой во рту). Также рекомендуется использовать ирригатор (в идеале, конечно; но можно и без него).
❓ Какие ограничения в питании?
▶️ Запрещается есть очень твёрдую пищу: орехи, сухари, чипсы, сушки, карамель и т.д. Клей потрескается, аппарат выпадет изо рта. Его можно зафиксировать обратно, но будут потрачены время и деньги.
❓ А что если аппарат отклеится от зубов ночью, вдруг ребёнок задохнется?
▶️ Это распространённый страх родителей. Аппарат приклеивается к зубам очень крепко, сам он ночью расфиксироваться не может, это его плюс в отличие от съёмной пластинки. К тому же аппарат большого размера, провалиться в глотку он также не сможет.

ЧАСТЬ 3. АППАРА МАРКО РОСА (Marco Rosa)
❓Видно ли аппарат при улыбке или разговоре?
▶️ Нет, аппарат находится внутри полости рта, снаружи его не видно (пример на фото).
❓Сколько нужно носить аппарат?
▶️ В среднем 10-12 месяцев. Зависит от возраста ребёнка, степени сужение челюсти, степени прорезывания постоянных зубов, гигиены полости рта.
❓Можно ли снимать аппарат?
▶️ Нет, самостоятельно снять аппарат ребёнок просто не сможет, так как он фиксируется специальным стоматологическим клеем к молочным зубам. Снять его сможет только врач.
❓Больно ли устанавливать аппарат?
▶️ Нет. Есть небольшое неприятное ощущение давления при надевании колец на зубы.
❓А зубы станут ровными при ношения этого аппарата?
▶️ Аппарат не предназначен для выравнивания зубов, он предназначен для создания места для них. Незначительное самостоятельное выравнивание зубов в созданное для них место возможно. Для идеального выравнивания зубов можно применить частичную брекет-систему (4 брекета на передние зубы) вместе с аппаратом.

ЧАСТЬ 2. АППАРАТ МАРКО РОСА (Marco Rosa)
❓В чём ещё польза этого аппарата?
▶️ Аппарат увеличивает объем полости рта, места для языка становится больше, язык отодвигается от задней стенки глотки, тем самым открывая суженые дыхательные пути, поток воздуха в организм увеличивается, улучшается общее состояние, физическое и психическое развитие ребёнка! Также расширяются нижние носовые ходы, что улучшает носовое дыхание ребёнка!
❓ Что нужно сделать, чтобы начать лечение на этом аппарате?
▶️ Обратиться на консультацию, пройти диагностический этап (фотографирование лица и зубов, анализ гипсовых моделей зубов, анализ рентгеновских снимков, планирование лечения).
❓ Сколько нужно носить аппарат?
▶️ В среднем 10-12 месяцев, возможно больше. Зависит от возраста ребёнка, степени сужения челюсти, степени прорезывания постоянных зубов, гигиены полости рта.
❓ Аппарат остался от старшего ребёнка, можно его поставить младшему?
▶️ Нет, во-первых, это не гигиенично. Во-вторых, аппарат индивидуальный, другому ребёнку просто не подойдёт. Даже у близнецов разные зубы.
❓ Можно ли этот аппарат купить в магазине или на AliExpress?
▶️ Нет, этот аппарат индивидуальный. Он изготавливается зубным техником в зуботехниеской лаборатории по гипсовой модели пациента.

ЧАСТЬ 1. АППАРАТАТ МАРКО РОСА (Marco Rosa) или аппарат для быстрого нёбного расширения. Это ортодонтический аппарат, названный так в честь своего создателя - итальянского доктора ортодонтии Marco Rosa.
❓ Зачем он нужен?
▶️ Аппарат нужен для расширения верхней челюсти если она сужена.
❓ Как аппарат расширяет челюсть?
▶️ Аппарат устанавливается на верхнюю челюсть, у него есть пластмассовый базис, в который встроен винт. При раскручивании винта, половинки аппарата раздвигаются , передавая силу давления винта на зубы и твёрдое нёбо, верхняя челюсть расширяется.
❓Как узнать сужена ли верхняя челюсть?
▶️ Обратиться на консультацию ортодонта. Самостоятельно вы можете увидеть у ребёнка зубы, которые неровно прорезываются. Так как челюсть сужена, зубам не хватает места, они не могут поместиться в челюсти и искривляются. Также может быть затруднено носовое дыхание. При сужении верхней челюсти, узкой становится и полость носа.
❓ У кого применяется?
▶️ Применяется у детей в возрасте 7-9 лет (приблизительно). Ребёнок активно растёт и есть уникальная возможность расширить именно ЧЕЛЮСТЬ.
❓ Можно применять у взрослых?
▶️ У взрослого человека рост скелета завершен и этот аппарат будет неэффективен, челюсть не расширится. Более того, применение этого аппарата во взрослом возрасте может нанести вред, зубы могут наклониться наружу или даже "выйти" из кости.

✔Обновлённая улыбка
🦷



🦷 8-е зубы или зубы "мудрости" обычно прорезываются позже всех остальных зубов, где-то в 15-25 лет. Этот факт даёт им шанс дольше оставаться здоровыми.
✅ В этом клиническом примере 6-е зубы оказались разрушенными, а 7-ой и вовсе удален (на рентгеновском снимке снизу слева). А вот зубы "мудрости" оказались вполне себе хорошими! Решили замещать "мертвые" зубы "живыми", а снизу слева перемещать 8-ой на место удаленного 7-ого и таким образом избежать протезирования!

КОНСТРУКЦИЯ АППАРАТА МАРКО РОСА
1️⃣ ВИНТ ХАЙРЕКС. Создаёт расширяющее усилие.
2️⃣ МЕТАЛЛИЧЕСКИЕ ЛАПКИ. Это дополнительные элементы фиксации, которые упираются в молочные клыки, создают точки приложения силы к зубному ряду.
3️⃣ КОЛЬЦА НА МОЛОЧНЫЕ МОЛЯРЫ. Обеспечивают фиксацию аппарата на опорных зубах с помощью специального стоматологического клея.
4️⃣ ПЛАСТМАССОВЫЙ БАЗИС (пластинка). Объединяет все элементы в единую систему и передаёт расширяющее усилие винта на нёбо.
5️⃣ ДОПОЛНИТЕЛЬНЫЕ ЭЛЕМЕНТЫ (крючки для лицевой маски)
*️⃣ Спанч Боб и Патрик😀

Аппарат Марко Роса (Marco Rosa) - маленький невидимый помощник в больших ортодонтических делах💗

✔С такой улыбкой можно мир покорить!
✔Очередной результат!






✔Мотивации мост☝️ от наших сестёр-звездочек, закончивших ортодонтическое лечение ✔Обращаясь к ортодонту, Вы покупаете НЕ брекеты, а привлекательность...раскрепощенность...свободу общения...
P.S. Фотографии авторские, стиль сохранен.


Прекрасная Анастасия!
P.S. Фотографии авторские, стиль сохранен.


Коллеги, быстрее раскупайте билеты на семинар АВ Тихонова по минивинтам❗Это действительно "сплав металла и интеллекта" 💪 Колоссальное количество четко структурированной информации, у которой просто нет шансов НЕ проникнуть в ваше сознание🧠!) Квинэссенция научных данных и многолетнего опыта команды лучших ортодонтов страны во главе с Андреем Викторовичем!📚 Показательные клинические случаи...честно, открыто, без прикрас! Схемы и алгоритмы сложнейших вопросов биомеханики! Вопросы этики и деонтологии в общении с пациентами и коллегами! И конечно искрометный юмор и харизматичность АВ!)))😂 P.S. Отдельное спасибо за тестирование) Лично меня такой соревновательный компонент мероприятия мотивировал слушать внимательнее и думать активнее))) Захотела оказаться в тройке победителей - оказалась!)))🏆

Улыбка?! ✔Сделано!

Наглядные модели для консультаций и обучению гигиене полости рта!

✔Хорошая традиция расшевелить свои ортодонтические мозги! Спасибо организаторам! Как всегда Интересно! Информативно! Искрометный юмор!🙃

✔Каждая улыбка по своему уникальна!
✔Глубокий прикус, дистальный прикус с пространством (щелью) между верхними и нижними резцами, скученное положение зубов, заблокированное нёбное положение верхнего левого зуба ✔Лечение на металлической самолигирующей системе Damon


Повышаю свою квалификацию... постоянно:)

✔В 14 лет так важно иметь лучезарную ослепительную улыбку, ведь она придаёт уверенности в себе! Это особенно важно, когда наступает пора влюбленности...💕 ✔Подробности в ранее опубликованном посте👇
✔Пациент, 12,5 лет на момент старта ✔Общий срок лечения 18 месяцев ✔Брекеты Damon Q ✔Дистальный, перекрестный, глубокий прикус, смещение нижней челюсти, несоответствие средних линий и сужение зубных рядов, скученность зубов, недостаток места для верхних клыков

Дома с ORMCO. Марафон прямых эфиров👍

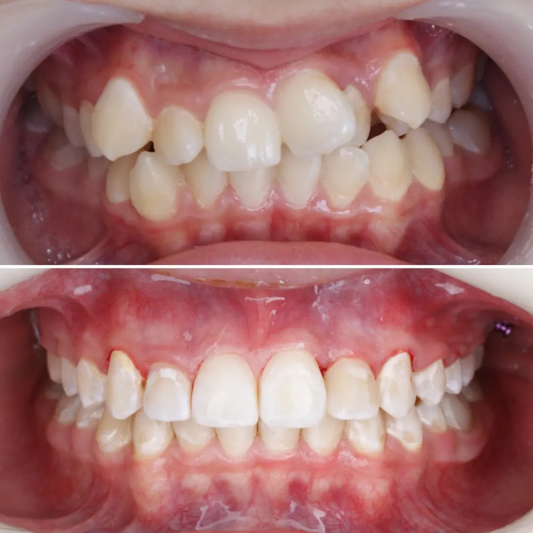
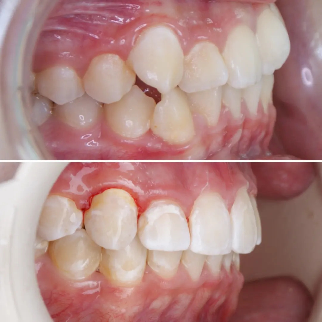
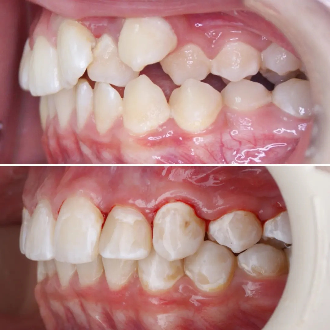
✔Во время длительного ортодонтического лечения гигиена затруднена из-за наличия во рту брекетов, дуг, резинок и тд. ✔ Если гигиена не поддерживается на должном уровне, на эмали зубов образуется начальный кариес в виде белых (желтоватых) пятен, который может превратиться в полости или “дырки” (на левой фотографии).✔ Обращаю Ваше внимание, что брекеты зубы не портят! Отсутствие гигиены портит зубы! ✔На правой фотографии современное решение этой проблемы – лечение кариеса без сверления, метод инфильтрации кариеса ICON.

✔Лечение завершили, теперь дело за малым - научиться улыбаться "до ушей"😄
✔Хочу показать жизнь без прикрас ✔Отсутствие должной гигиены во время лечения, которое привело к гингивиту (воспаление десен) и начальной стадии кариеса (меловидные пятна на эмали зубов) ☑Этим постом хочу призвать всех брекетоносцев собдюдать правила гигиены ‼Запомните❗Брекеты не портят зубы! ❗Портит зубы отсуствие тщательной регулярной чистки зубов❗ ✅Дайте своему врачу возможность и время сделать вашу улыбку идеальной
✔Мир озарила еще одна классная улыбка😃 ✔Подробности позже...👉
✔ Пациент, 14 лет ✔ Аппаратура Damon 3MX ✔ Срок лечения указывать некорректно, так как пациент из другой страны и промежутки между помещениями были дольше запланированного времени

✔Клинический случай 2014 года, пациенту 29 лет ✔Закрытие промежутка между передними центральными резцами (диастема) ✔Никогда не поздно приобрести классную улыбку! 😁

✔Кто молодец?! Я - молодец!😃 Одержала победу в 3-ей международной контрольной по ортодонтии #ортоконтроша из более 80-ти участников! ✔ Спасибо организаторам за возможность проверить свои знания!

✔Клинический случай 2014 , пациенту 39 лет ✔Скученное положение зубов на верхнем и нижнем зубных рядах ✔Сегодня я бы создала еще более красивую улыбку! Ведь врач учится и узнает что-то новое каждый день!
✔Вот так уже несколько лет улыбается очаровательная Ксения👄, а лечение проходило с помощью эстетических брекетов! Тоже хотите? Тогда записывайся на консультацию!
Начало моего пути в ортодонтию👆 2012 год. С коллегами и преподавателями

✔Вот такая ортодонтическая микроподготовка к художественной реставрации зубов... Мелочи очень важны👆

Приобретёте ровные зубы, правильный прикус и красивую улыбку на Высотной, 10/1

Верно сказано!





























































