Диагностика
- Диагностика (снятие необходимого количества оттисков; изготовление диагностических и рабочих гипсовых моделей челюстей и их расчет; фотографирование лица и зубов, анализ фотографий; математический анализ рентгенологических снимков ОПТГ, ТРГ, КТ; составление плана лечения; заполнение медицинской документации; помощь в выборе аппаратуры) — 5500 ₽ детская, 7500 ₽ взрослая
- Анализ окклюзии в артикуляторе, определение истинного положения нижней челюсти с помощью ТЭНС — 4500 ₽ + 3000 ₽
- Лечебно-диагностический ортотик и его пришлифовка 1 раз в 2 недели — 5500 + 1000 ₽
Внимание! Рентгеновские снимки и МРТ выполняются в сторонней организации (по направлению нашей клиники) и оплачиваются отдельно согласно действующему прейскуранту этой организации — от 500 до 6000 ₽

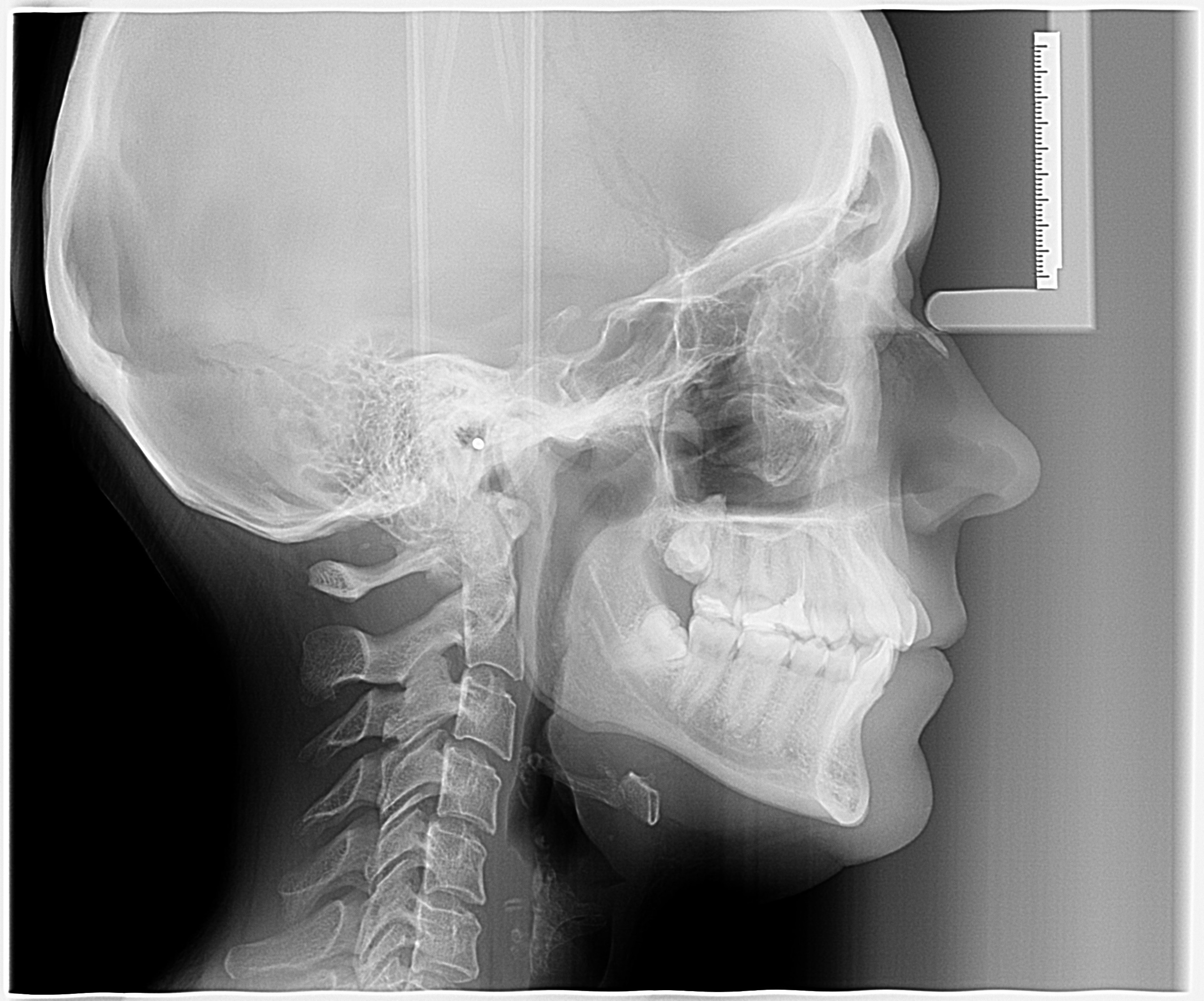
Телерентгенограмма в боковой проекции (ТРГ)

Пример расчета ТРГ

Заключение по исследованию ТРГ

ТРГ в прямой проекии

Ортопантомограмма (ОПТГ) ребёнка

Компьютерная томография (КТ)

Ортопантомограмма (ОПТГ), «выделенная» из КТ в специальной программе

Компьютерная томография височно-нижнечелюстных суставов (КТ ВНЧС)
