Для просмотра результатов ДО и ПОСЛЕ переместите бегунок вправо и влево

Внимание! Различия в цвете зубов обусловлены разными условиями освещенности при съемке

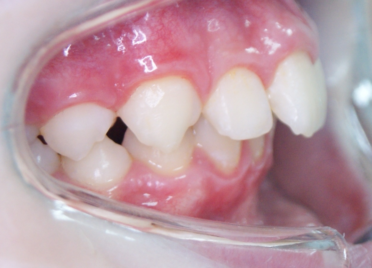
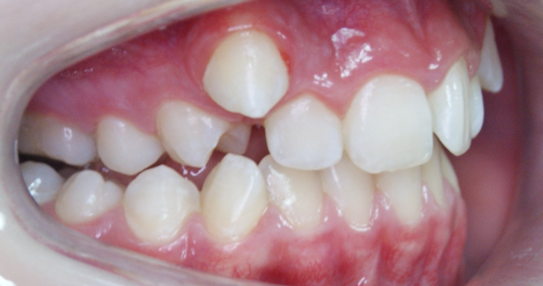
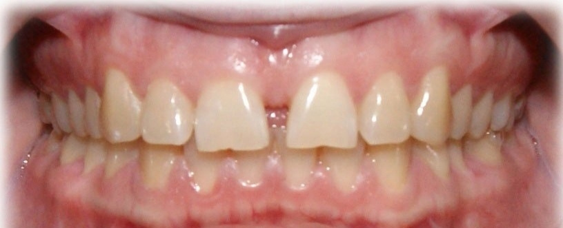
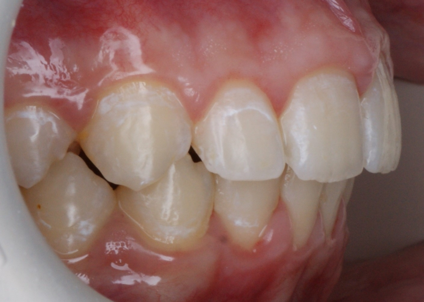
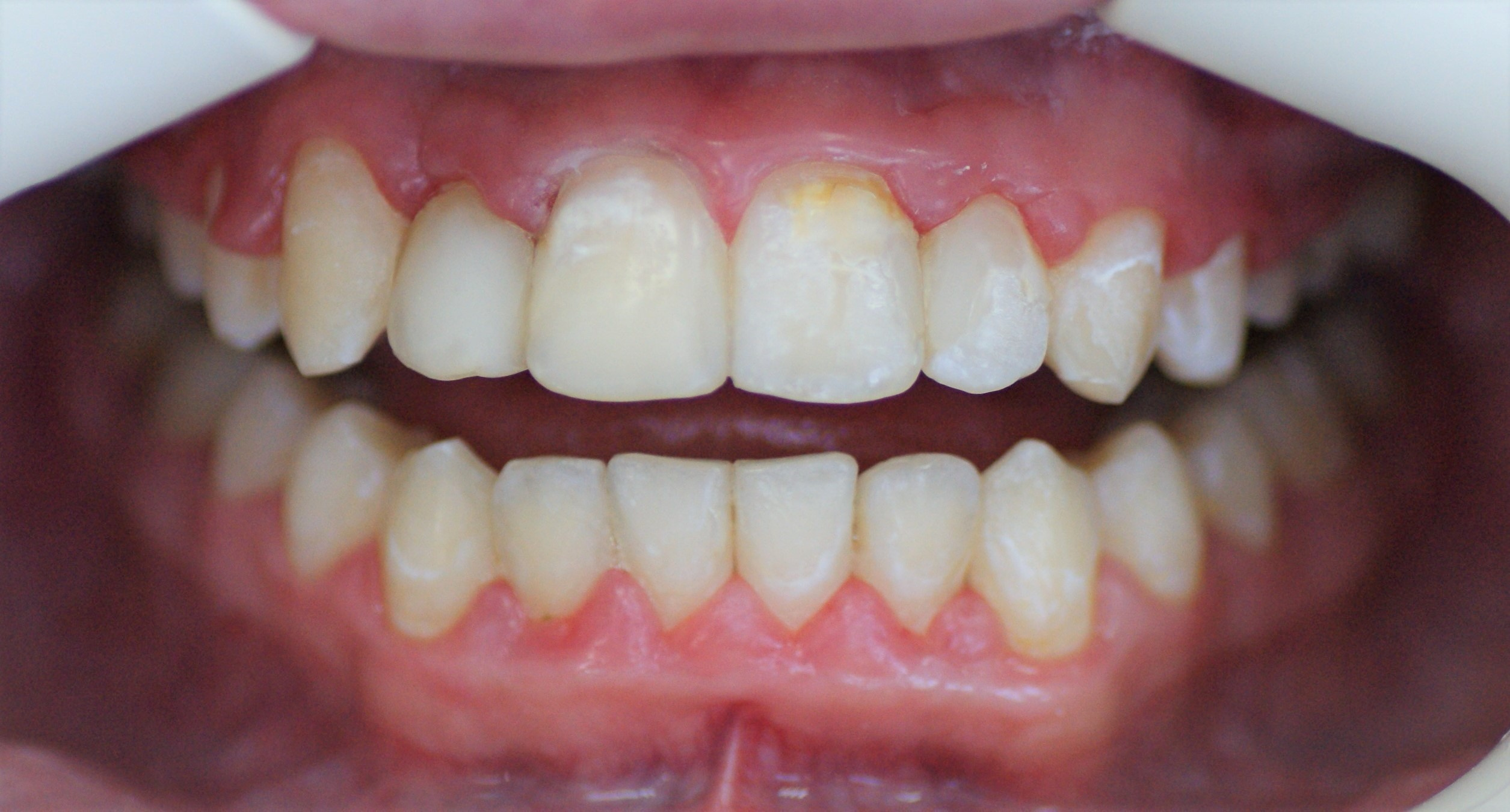
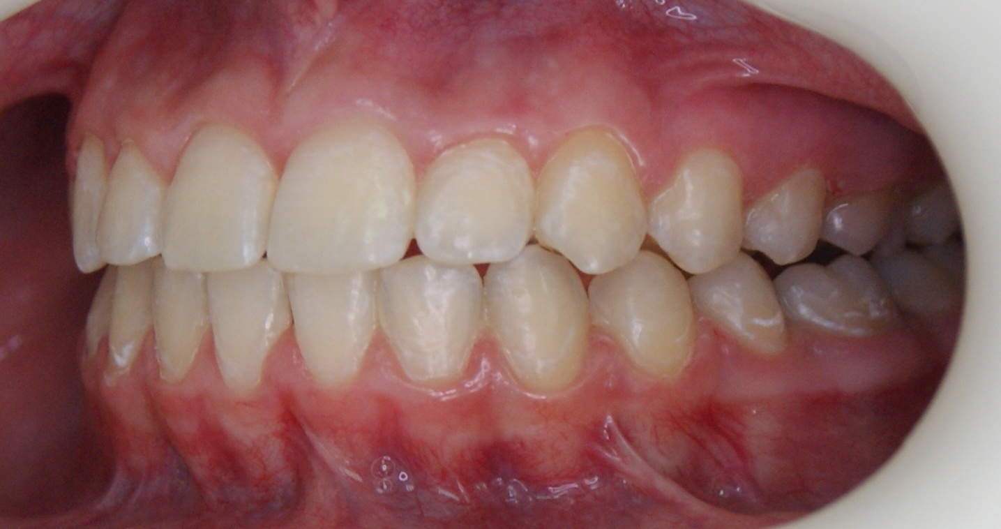
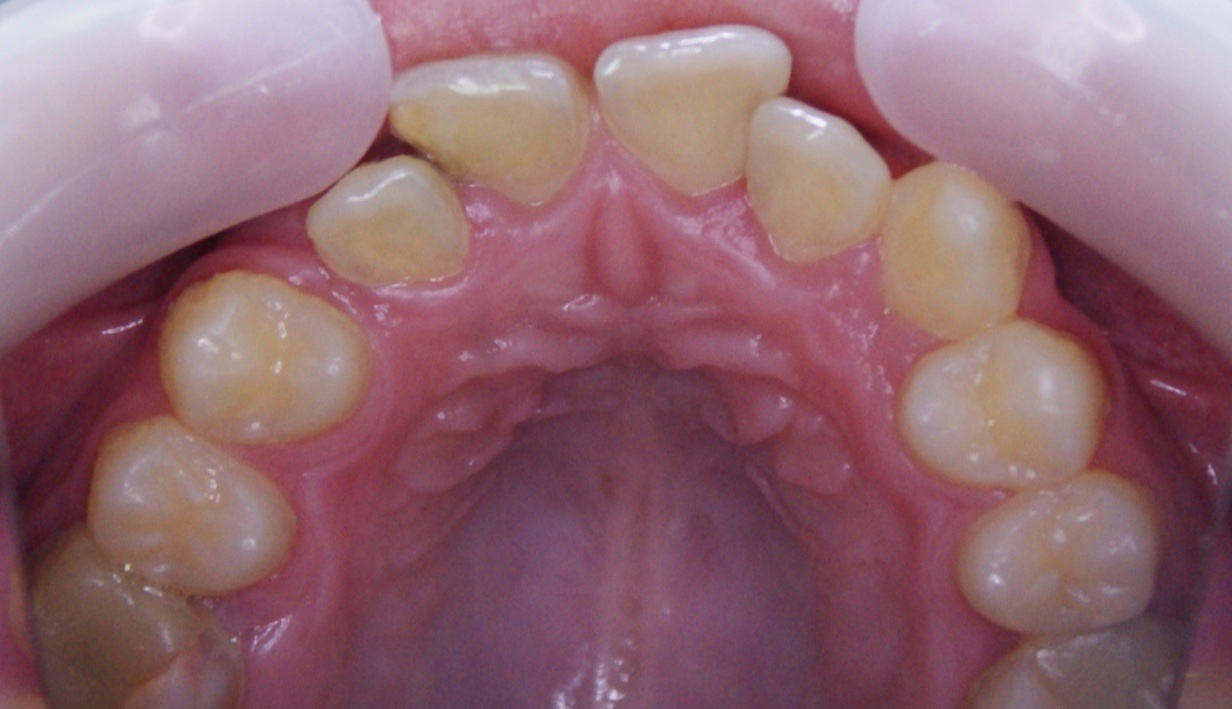
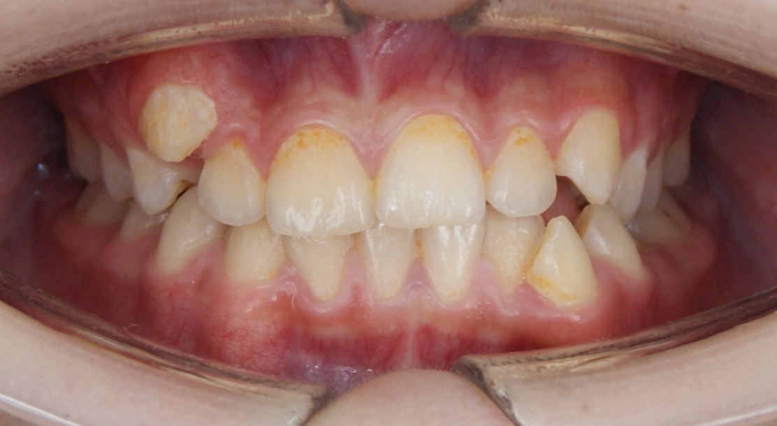
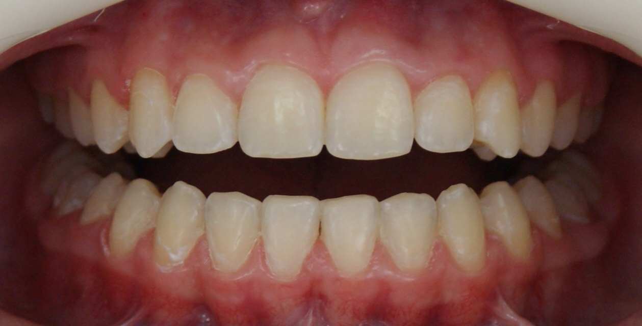
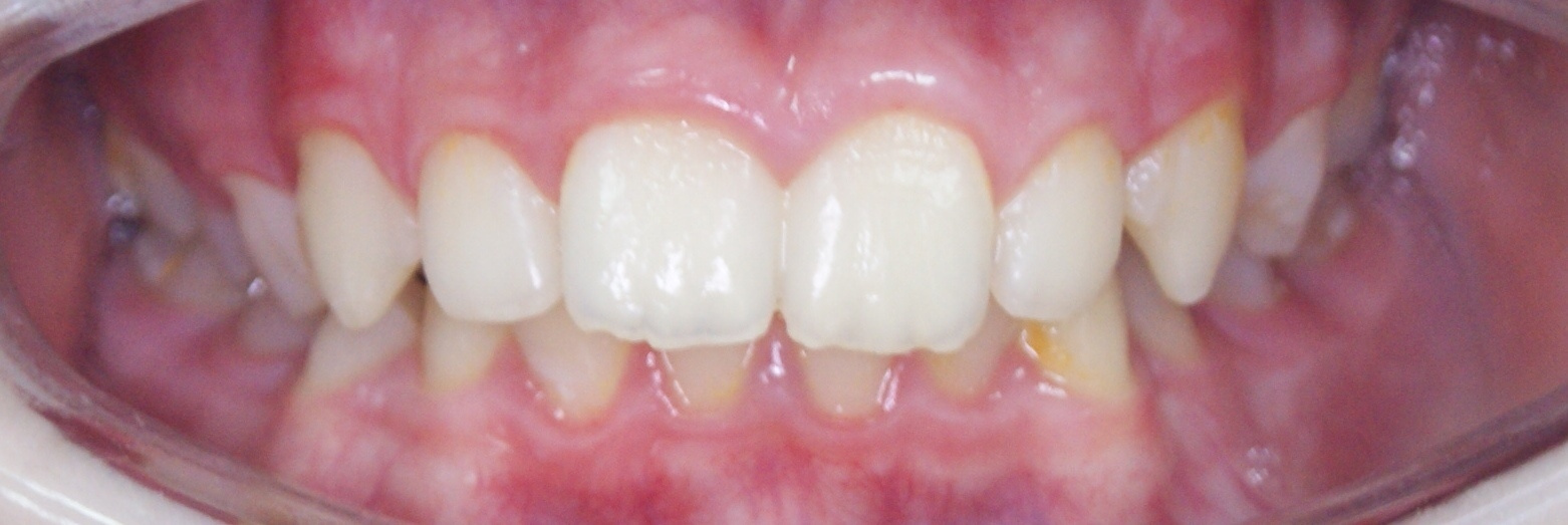
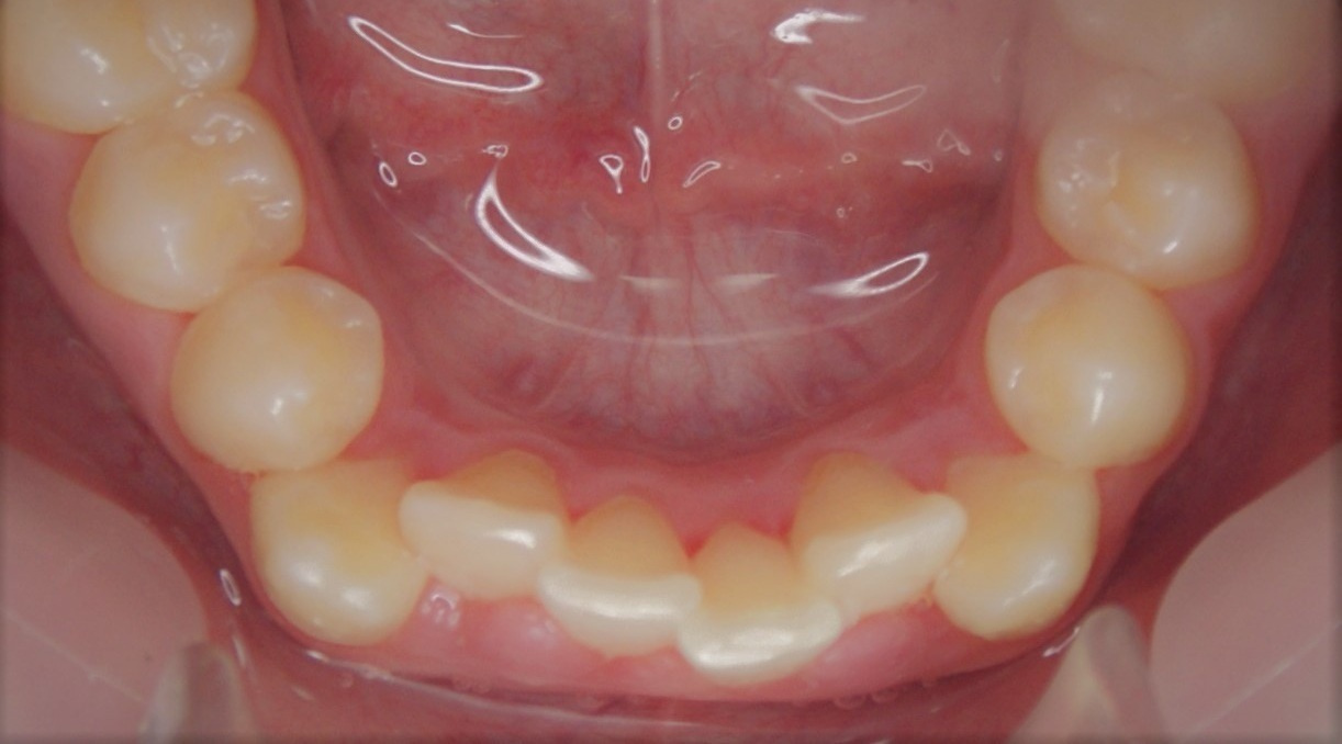
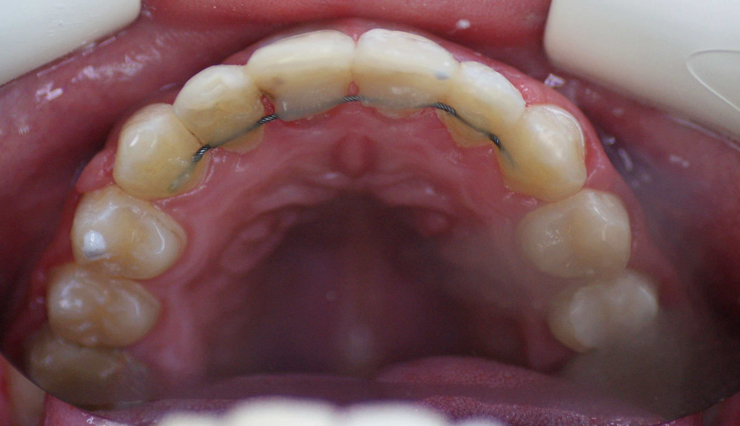
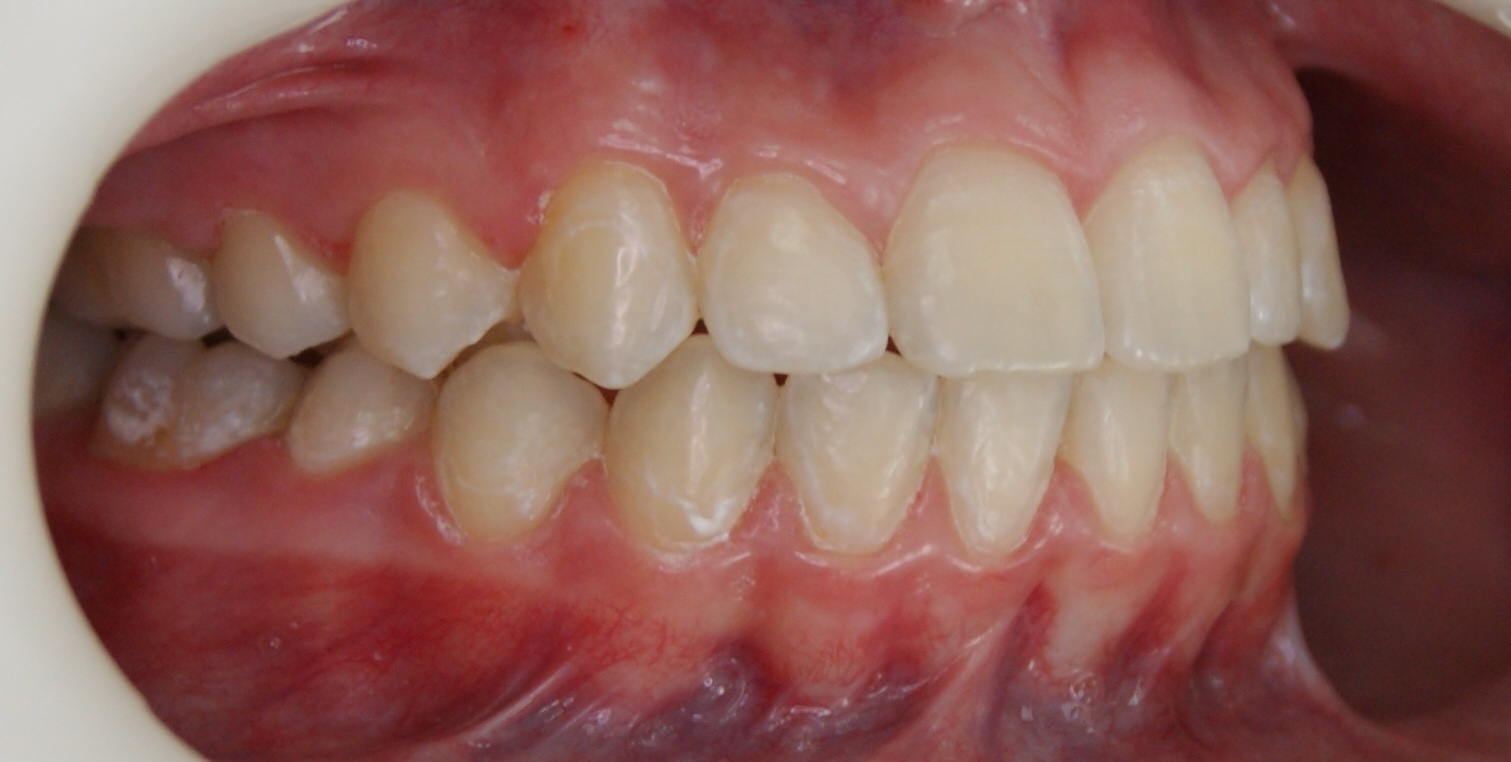
Результаты работ до/после и замечательные улыбки. Стоматология «Ортодонт-Эстетик». Установка брекетов в Оренбурге, взрос
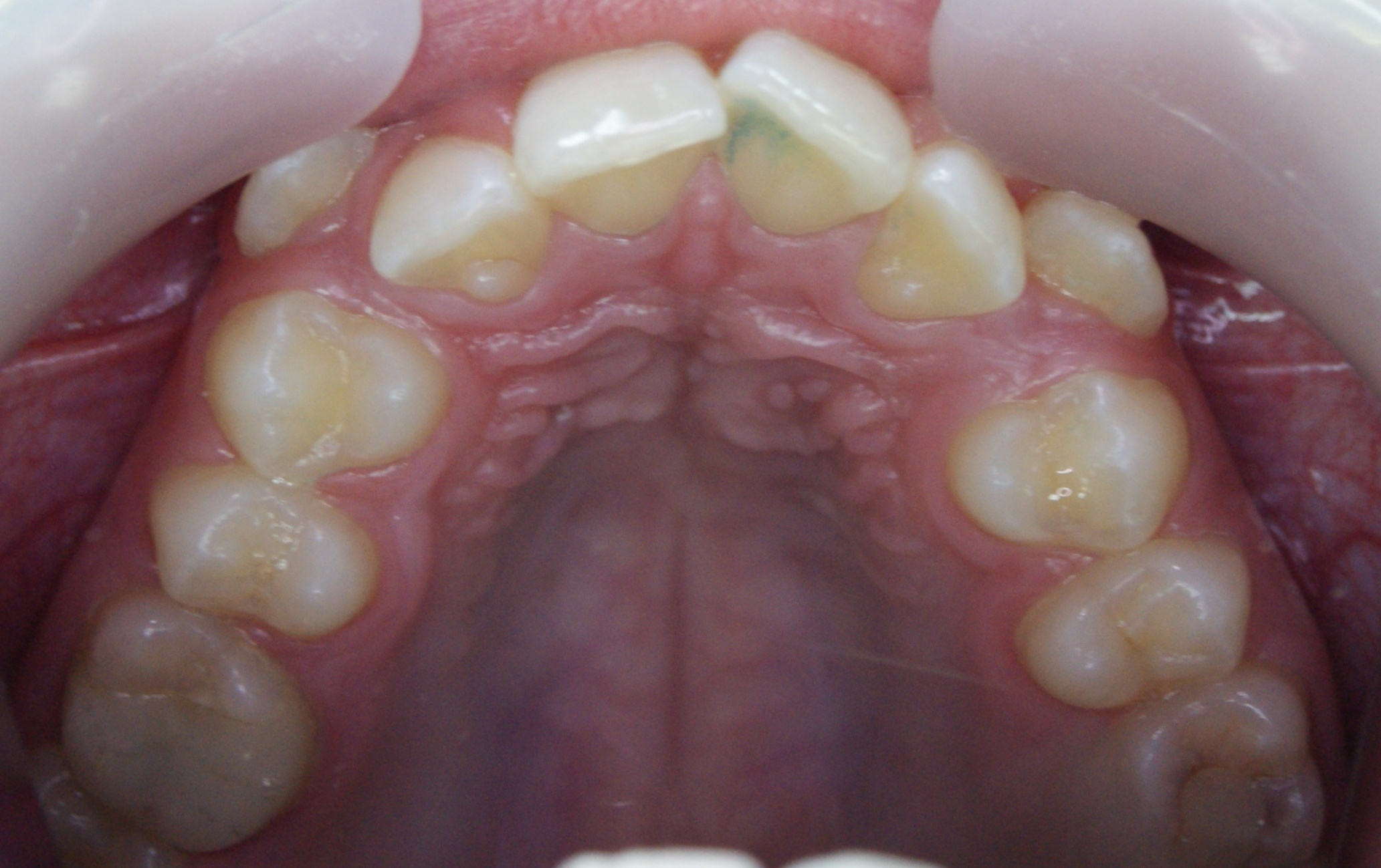
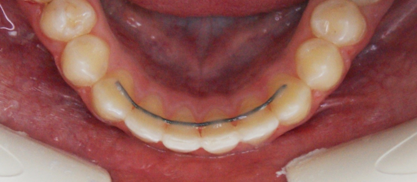
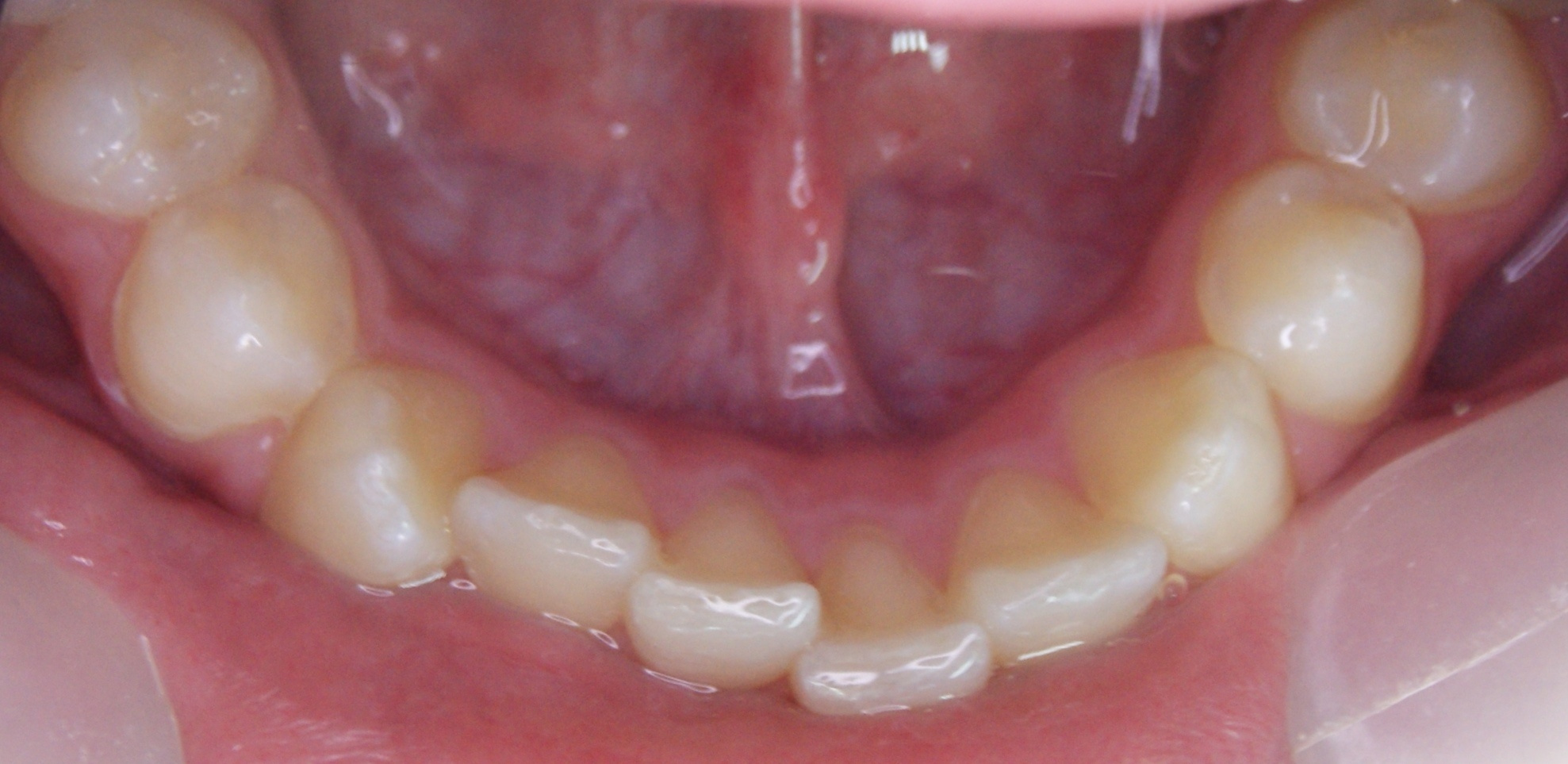
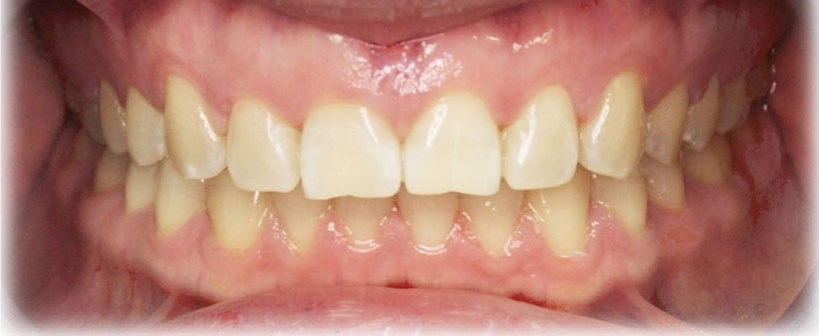
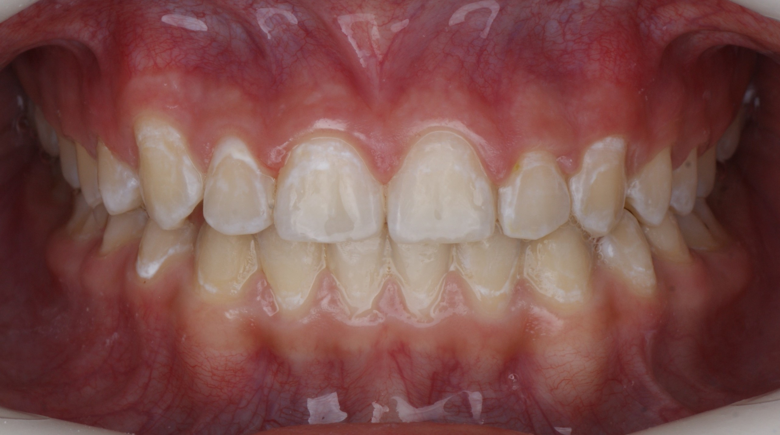
Результаты работ до/после и замечательные улыбки. Стоматология «Ортодонт-Эстетик». Установка брекетов в Оренбурге, взрос
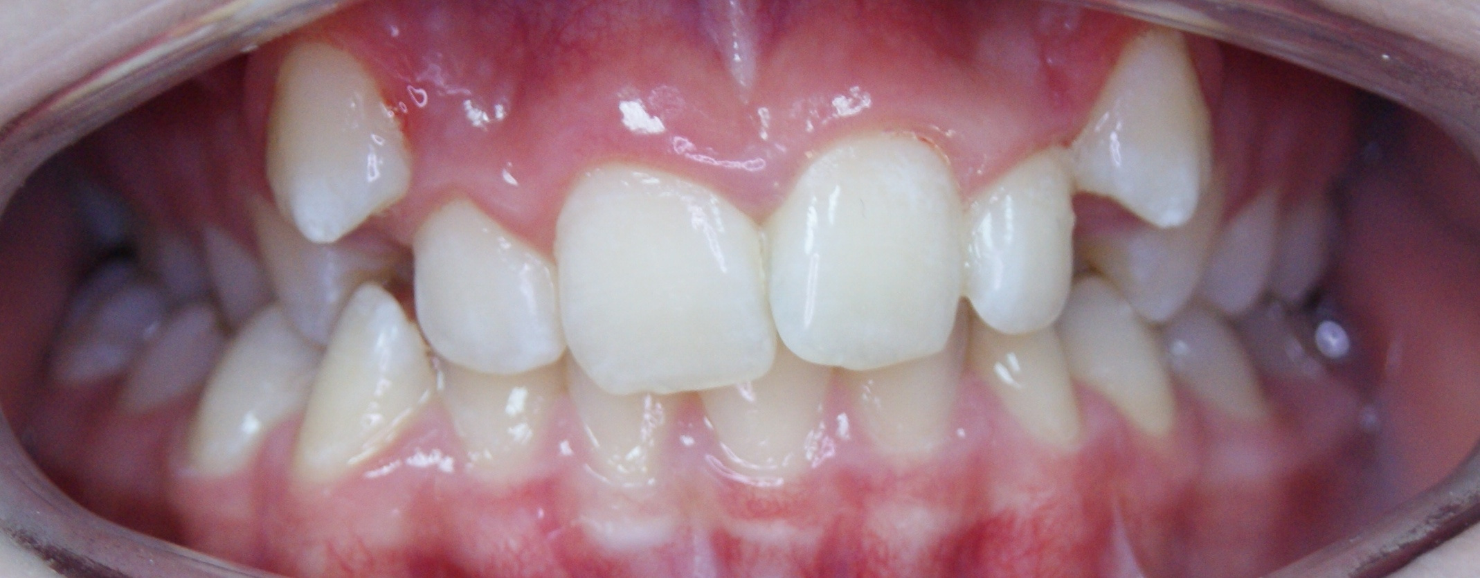
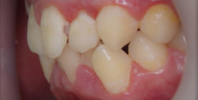
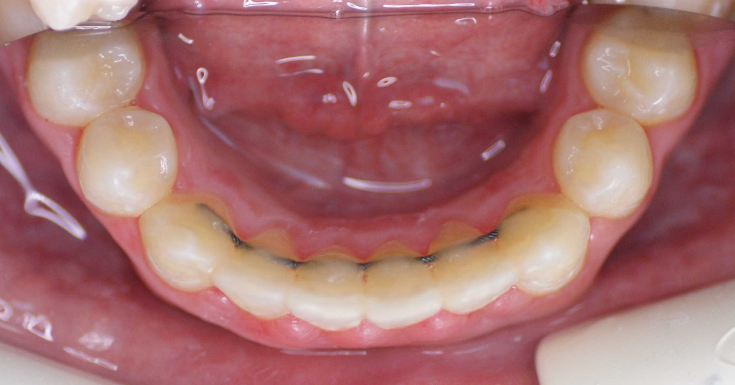
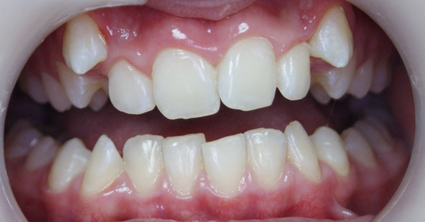
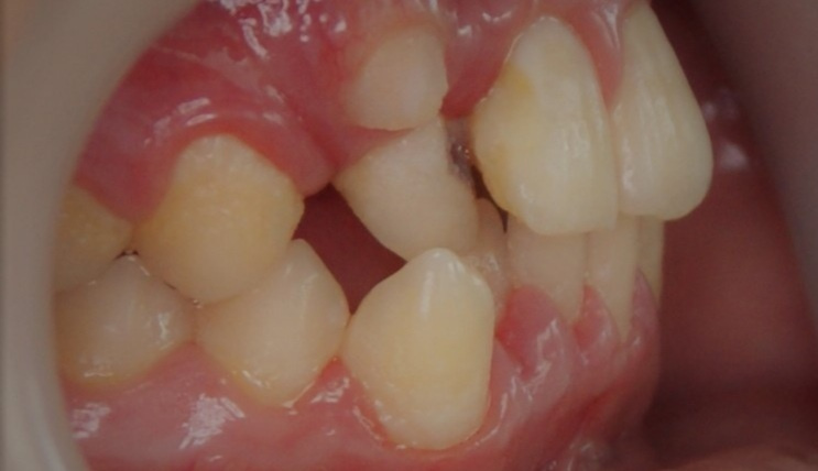
Результаты работ до/после и замечательные улыбки. Стоматология «Ортодонт-Эстетик». Установка брекетов в Оренбурге, взрос
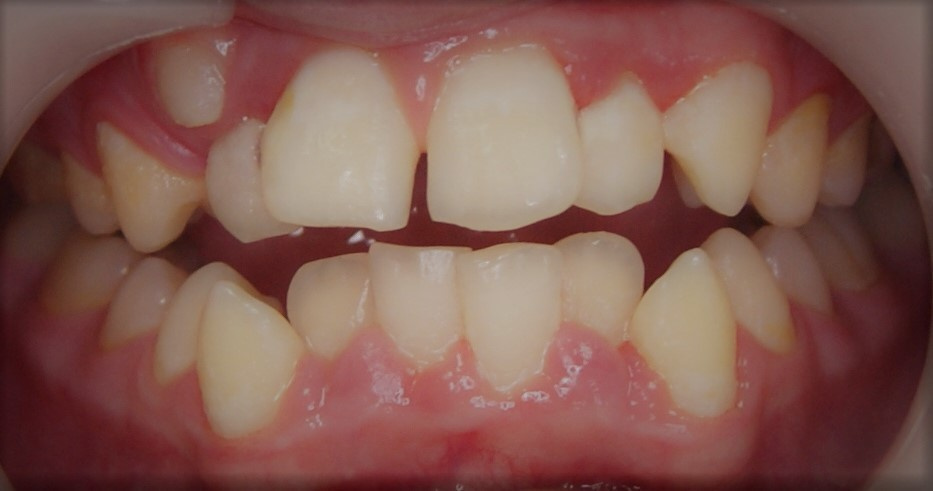
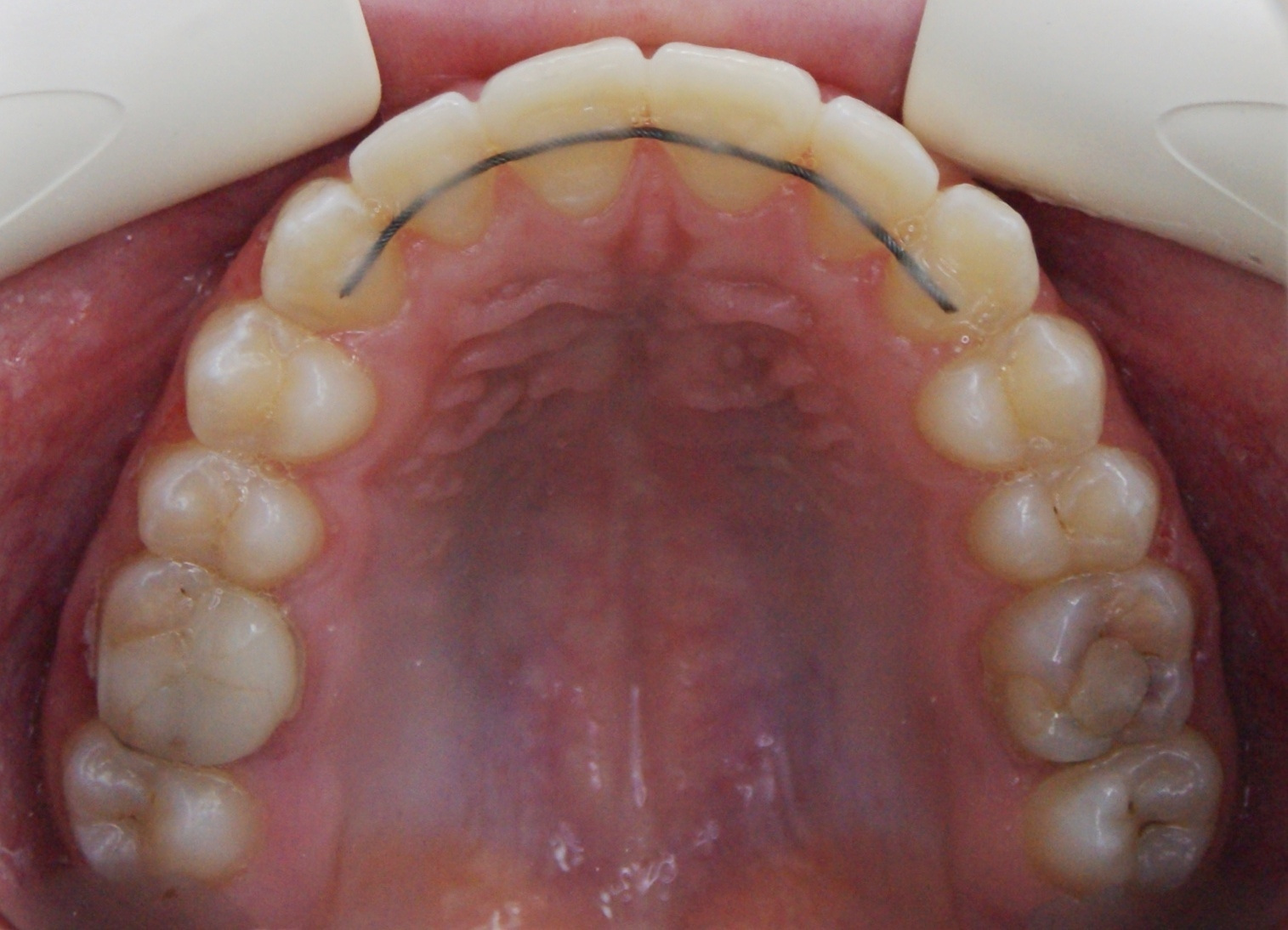
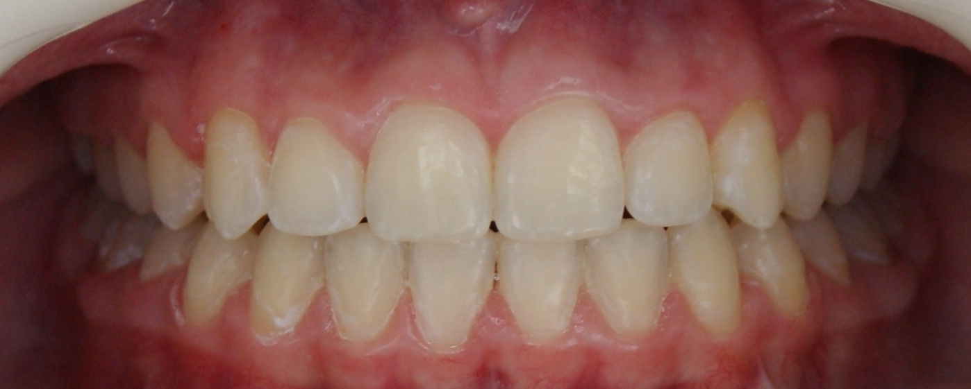
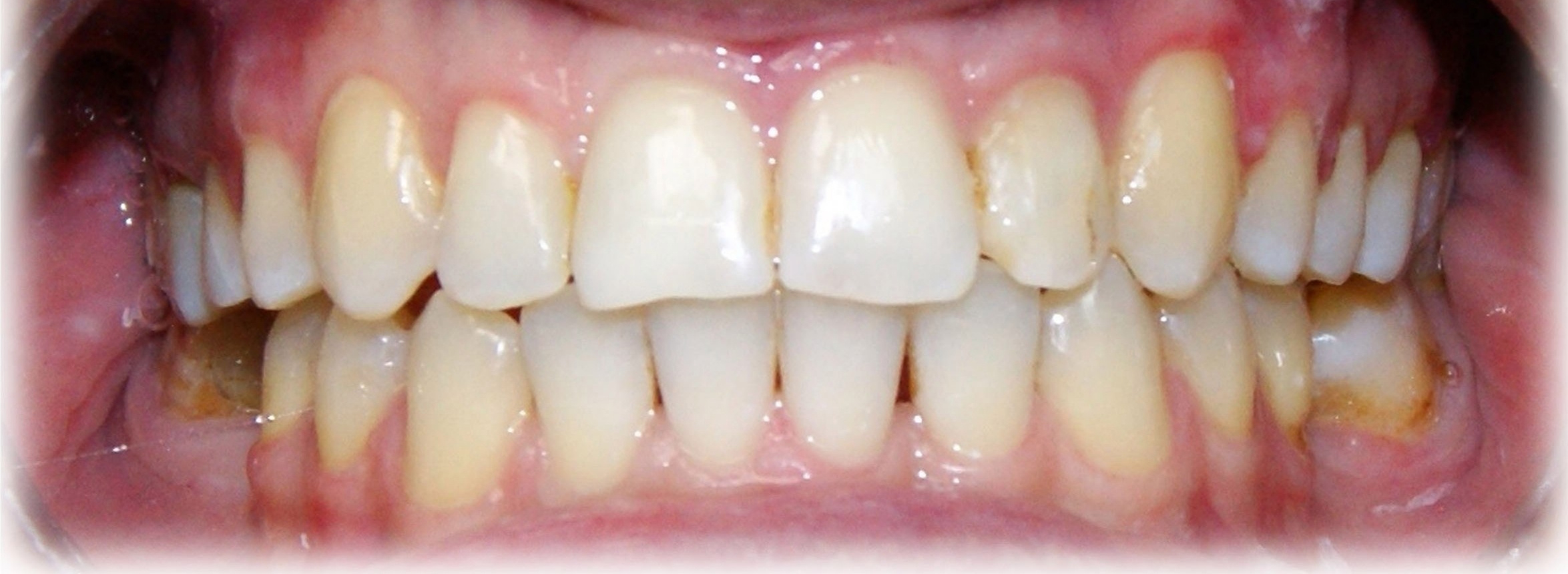
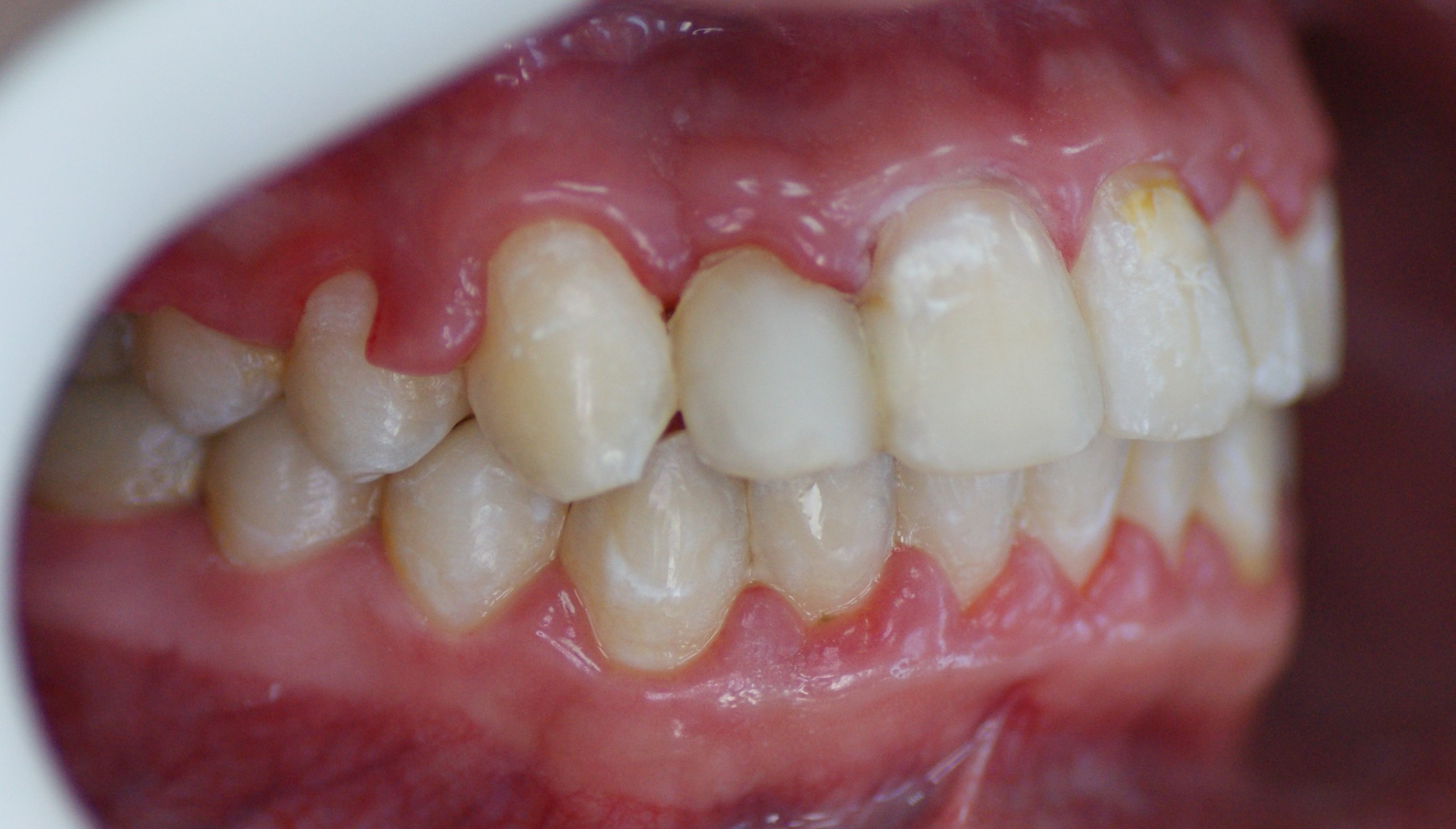
Результаты работ до/после и замечательные улыбки. Стоматология «Ортодонт-Эстетик». Установка брекетов в Оренбурге, взрос
Результаты работ до/после и замечательные улыбки. Стоматология «Ортодонт-Эстетик». Установка брекетов в Оренбурге, взрос
Результаты работ до/после и замечательные улыбки. Стоматология «Ортодонт-Эстетик». Установка брекетов в Оренбурге, взрос
Результаты работ до/после и замечательные улыбки. Стоматология «Ортодонт-Эстетик». Установка брекетов в Оренбурге, взрос
Результаты работ до/после и замечательные улыбки. Стоматология «Ортодонт-Эстетик». Установка брекетов в Оренбурге, взрос
Результаты работ до/после и замечательные улыбки. Стоматология «Ортодонт-Эстетик». Установка брекетов в Оренбурге, взрос
Результаты работ до/после и замечательные улыбки. Стоматология «Ортодонт-Эстетик». Установка брекетов в Оренбурге, взрос
Результаты работ до/после и замечательные улыбки. Стоматология «Ортодонт-Эстетик». Установка брекетов в Оренбурге, взрос
Результаты работ до/после и замечательные улыбки. Стоматология «Ортодонт-Эстетик». Установка брекетов в Оренбурге, взрос
Результаты работ до/после и замечательные улыбки. Стоматология «Ортодонт-Эстетик». Установка брекетов в Оренбурге, взрос
Результаты работ до/после и замечательные улыбки. Стоматология «Ортодонт-Эстетик». Установка брекетов в Оренбурге, взрос
Результаты работ до/после и замечательные улыбки. Стоматология «Ортодонт-Эстетик». Установка брекетов в Оренбурге, взрос
Результаты работ до/после и замечательные улыбки. Стоматология «Ортодонт-Эстетик». Установка брекетов в Оренбурге, взрос
Результаты работ до/после и замечательные улыбки. Стоматология «Ортодонт-Эстетик». Установка брекетов в Оренбурге, взрос
Результаты работ до/после и замечательные улыбки. Стоматология «Ортодонт-Эстетик». Установка брекетов в Оренбурге, взрос
Результаты работ до/после и замечательные улыбки. Стоматология «Ортодонт-Эстетик». Установка брекетов в Оренбурге, взрос
Результаты работ до/после и замечательные улыбки. Стоматология «Ортодонт-Эстетик». Установка брекетов в Оренбурге, взрос
Результаты работ до/после и замечательные улыбки. Стоматология «Ортодонт-Эстетик». Установка брекетов в Оренбурге, взрос
Результаты работ до/после и замечательные улыбки. Стоматология «Ортодонт-Эстетик». Установка брекетов в Оренбурге, взрос
Результаты работ до/после и замечательные улыбки. Стоматология «Ортодонт-Эстетик». Установка брекетов в Оренбурге, взрос
Результаты работ до/после и замечательные улыбки. Стоматология «Ортодонт-Эстетик». Установка брекетов в Оренбурге, взрос
Результаты работ до/после и замечательные улыбки. Стоматология «Ортодонт-Эстетик». Установка брекетов в Оренбурге, взрос
Результаты работ до/после и замечательные улыбки. Стоматология «Ортодонт-Эстетик». Установка брекетов в Оренбурге, взрос
Результаты работ до/после и замечательные улыбки. Стоматология «Ортодонт-Эстетик». Установка брекетов в Оренбурге, взрос
Результаты работ до/после и замечательные улыбки. Стоматология «Ортодонт-Эстетик». Установка брекетов в Оренбурге, взрос
Результаты работ до/после и замечательные улыбки. Стоматология «Ортодонт-Эстетик». Установка брекетов в Оренбурге, взрос
Результаты работ до/после и замечательные улыбки. Стоматология «Ортодонт-Эстетик». Установка брекетов в Оренбурге, взрос
Результаты работ до/после и замечательные улыбки. Стоматология «Ортодонт-Эстетик». Установка брекетов в Оренбурге, взрос
Результаты работ до/после и замечательные улыбки. Стоматология «Ортодонт-Эстетик». Установка брекетов в Оренбурге, взрос
Результаты работ до/после и замечательные улыбки. Стоматология «Ортодонт-Эстетик». Установка брекетов в Оренбурге, взрос
Результаты работ до/после и замечательные улыбки. Стоматология «Ортодонт-Эстетик». Установка брекетов в Оренбурге, взрос
Результаты работ до/после и замечательные улыбки. Стоматология «Ортодонт-Эстетик». Установка брекетов в Оренбурге, взрос
Результаты работ до/после и замечательные улыбки. Стоматология «Ортодонт-Эстетик». Установка брекетов в Оренбурге, взрос
Результаты работ до/после и замечательные улыбки. Стоматология «Ортодонт-Эстетик». Установка брекетов в Оренбурге, взрос
Результаты работ до/после и замечательные улыбки. Стоматология «Ортодонт-Эстетик». Установка брекетов в Оренбурге, взрос
Результаты работ до/после и замечательные улыбки. Стоматология «Ортодонт-Эстетик». Установка брекетов в Оренбурге, взрос
Результаты работ до/после и замечательные улыбки. Стоматология «Ортодонт-Эстетик». Установка брекетов в Оренбурге, взрос